この画像を大きなサイズで見るその圧倒的生命力で地球上最強生物の呼び名も高い緩歩動物「クマムシ」は、4対8本のずんぐりとした脚を持っており、昆虫のように歩くことができる。
だがこの動画では、脚を使わずに背中を円形の物体に押し付けながら回転しているのだが、遊んでいるのかな?背中が痒いのかな?
その動きはとてもユーモラスでかわいらしい。
クマムシが背中でくるくる移動するよ
クマムシはおよそ1000種以上(水生は170種あまり)が存在し、体長0.05ミリ~1.7ミリほどの小さな動物だ。
乾眠状態になることで実質的にすべて代謝機能を停止することができるため、強烈な宇宙放射線にも耐えうることができるし、極度の乾燥、超高温、超低温、真空、高圧にも耐えられる。
更には鉄砲玉となり銃で射出されても、砂に叩きつけられても死なないことも判明した。そんな最強伝説を持つクマムシの動きが、あまりにもかわいかった。
円形の浮遊物体に背中を押し付けながら、くるくると回転していくのだもの。
この画像を大きなサイズで見るそんなクマムシは、人類の為、昨年6月に5000匹が宇宙へと旅立っていった。宇宙が人体に与える影響を調査する為だ。
すでにイスラエルが月に送ったクマムシが、月の先住者になっている可能性もあったりなかったりすると噂されているが、とにかく我々は、クマムシさんにお世話になったり癒されながら、その活躍を見守ろうじゃないか。
written by parumo
















生きているねぇ、もしゃもしゃと動いて。
生きている、それだけで素晴らしい事な
はずなのに、、、
ハムスターみたいな
実際何してんだこれは?
※3
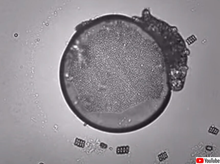
丸いのは珪藻類か何かの植物性プランクトンかな。
これは推測だけど、顕微鏡のガラスに水をたらして丸いプランクトンとクマムシの動きを観察するとして、水が少なすぎると丸いプランクトンの周囲に水が集まり、クマムシはそこでしか泳げなくなってぐるぐる回っている、といった感じだろうか。
× 圧倒的生命力で地球上最強生物の呼び名も高い緩歩動物「クマムシ」
〇 活動状態にあるクマムシは、37.1℃が24時間続くと半数が死ぬ軟弱ものです
※4
37.1℃が24時間も続いたら人間だってきついんでないかい?
昨日今日の暑さでまいってるアタクシでした。
※4
この書き込みで
・吸血鬼は心臓に木の杭を刺すと死ぬ
・クマムシは潰せば死ぬ
これって同じだなって思考が飛躍しました
>>4
・・・たぶん相当数の人間もぶっ倒れると思うぞ。
クマムシ「くっついて取れへん…」
油滴とかにとらわれるのかも?
もし遊びならたいしたもの、コモドからクマムシまで遊ぶ生き物が広がったわけだ
不死身の代名詞みたいなクマムシだけど、その不死身性を調べる実験の後はどれもすぐに亡くなったらしいね・・・
人間目線だといつもモノクロで平面的な世界だけど、この子らには世界が海や宇宙みたいに感じてるのかな。