この画像を大きなサイズで見る1895年、ドイツ、ヴュルツブルク大学の物理学者ヴィルヘルム・レントゲンによって、身体を傷つけることなく体内を見ることが可能になる大発見がなされた。
11月8日の晩、彼が誘導コイルと部分真空ガラス管を用いて、低圧ガスを通した電気の伝導を実験していた時、偶然にも数メートル離れた蛍光板を発光させる謎の線を発見した。ここに手をかざすと、蛍光板に自分の骨の影が写ることが分かった。その後の研究から、蛍光板の代わりに感光板が採用され、レントゲン写真が誕生した。レントゲンはこの功績によりノーベル物理学賞を受賞している。
レントゲン写真の登場は、医師による診断に革命を起こしただけでなく、天文学や化学などの分野においても大きな発展をもたらした。X線を使えばDNAの構造を確かめられるだけでなく、遠く離れた銀河まで観察することができる。2009年、ロンドン科学博物館で行われた5万人による投票では、ペニシリンを抑え最も重要な科学的発見に輝いている。
1. Xは未知を意味する記号
この画像を大きなサイズで見るレントゲンは発見した線をX線と名付けた。「X」は数学で未知の数を表すXだ。現在、X線について多くのことが判明しているが、今でも当時の謎めいた雰囲気を表す名が使用されている。
2. 最も古いレントゲン写真の1つは妻の手
この画像を大きなサイズで見る多くの科学者の例に漏れず、レントゲンもまた妻で実験を開始した。最初に撮影されたレントゲン写真の1つは、薬指に結婚指輪をはめた妻アンナ・ベルタの手だ。彼女はそれほど感銘を受けなかったようだ。一説によれば、彼女は「自分の死が見えたわ!」と叫んだという。なお、上の画像は彼の妻の手ではなく、同年代の生物学者であるケリカーのものだという。
3. 即座に実用化
この画像を大きなサイズで見るレントゲンが発見を公表してわずか数週間のうちに、ヨーロッパの外科医は人体に残った弾丸などの異物を調べるためにレントゲン写真を使用し始めた。最初の使用例の1つが、イギリスの医師による女性の手に入った針の診察である。翌年、グラスゴー王立病院にはX線科が創設され、アメリカの臨床現場でも骨折や銃による怪我の診察に利用されるようになった。
なお、こうした使用は何も医療に限ったことでなない。初期にレントゲン写真を採用した者の娘が次のように証言している。「私の誕生パーティで子供用の指輪をつけた骸骨の写真を見せて、キャーキャー言わせてたわ。今のことを知っていれば、当然そんなことしなかったでしょうね」
4. 人体への害は知られていなかった
X線が登場した当時、通常の光と同様に、人体に何ら影響を与えることなく通過すると考えられていた。健康への影響が懸念されるようになったのは、トーマス・エジソンの助手であり、X線を頻繁に使用していたクラレンス・ダリーが1904年に皮膚癌で亡くなる頃だ。
無害であると考えられていたこと、そして何よりもその物珍しさから、19世紀後半から20世紀初頭にかけてはレントゲン写真が大流行りし、祭りや見世物などでも使用されるようになる。さらに、X線という単語は頭痛薬や研磨剤などの販売文句としても持て囃され、広告、歌、漫画などでもよく使用された。
30~50年代のアメリカでは、レントゲン写真機を備えた靴屋すらそれほど珍しくはなかった。動画は20年代の映像で、レントゲン写真で靴のフィット具合を確認できると宣伝している。
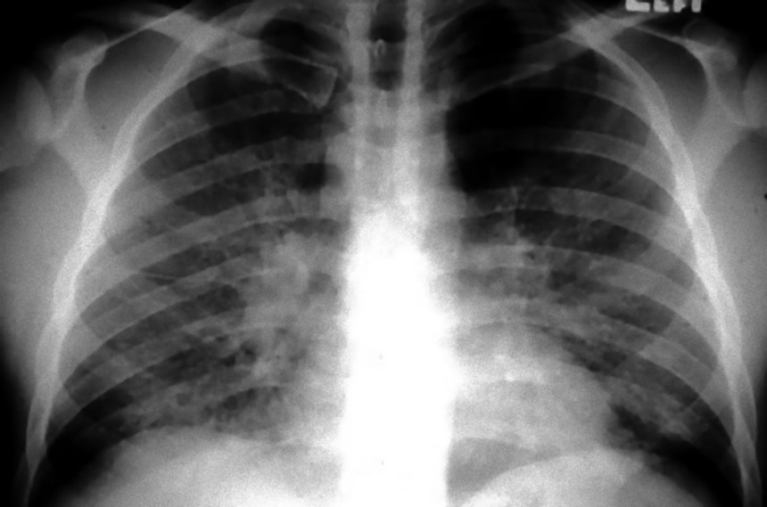
5. 結核の治療に革命
この画像を大きなサイズで見る20年代半ばに抗生物質が登場するまで、結核を治すには療養所で休むしかないと考えられていた。治療は早期発見が決め手とされていたが、従来の胸の音を聴く方法では正確な診断が難しかった。だが、レントゲン写真の登場によって、結核菌が肺に作り出した特徴的な影を確認できるようになった。また、軍や工場、炭鉱においてもレントゲン写真が導入され、結果として多くの命が救われた。
6. 癌を殺す
この画像を大きなサイズで見る初期のX線研究者は、これによって皮膚が火傷を負うことに気づいていた。初期の装置が現在のものよりもかなり多いX線を照射していたこともこうした火傷の一因である。
こうした過剰な暴露は癌の原因となるが、同時にそれを治療することもできる。レントゲンが生きていた時代でさえ、X線を使用して黒子を焼く医師がいたのだ。今日では、X線の照射点を絞ることで、癌の放射線治療の一種として腫瘍組織の破壊に使用されている。
7. DNAの構造を発見
この画像を大きなサイズで見るDNAの二重らせん構造の理解は、X線回折法からももたらされている。これは、X線が結晶格子内で原子の3次元パターンに反射されることを利用して、その構造の影を描き出す技法だ。50年代初め、X線写真によるDNA構造の撮影に成功したのはイギリスのロザリンド・フランクリンだが、DNA分子構造の発見者として知られるジェームズ・ワトソン、フランシス・クリックらとノーベル賞を受賞する前に彼女は亡くなってしまった。
8. 宇宙の観測で活躍
この画像を大きなサイズで見る宇宙に打ち上げられた望遠鏡はX線を検出することができ、人類に太陽系からはるか遠く離れた宇宙の姿を教えてくれる。1999年にNASAがスペースシャトル、コロンビアによって打ち上げたチャンドラX線観測衛星は、ブラックホールや暗黒物質の謎の解明に大きく貢献している。最初のX線放射観測は、天の川銀河中心にある大質量ブラックホールいて座A*からのものであった。
9. 芸術や考古学にも貢献
この画像を大きなサイズで見るX線は芸術史の研究者にも重宝される。下塗りを観察することで、芸術家の作業過程を詳しく知ることができるからだ。継時的な変化や修復の様子も確認できるため、よりオリジナルに近い修復が可能となる。
エジプトのミイラのような、貴重な遺物を傷つけずに調査することもできる。中国の1,000年前の仏像の内部に人体が発見されたのもX線のおかげだ。琥珀内部に閉じ込めれた太古の虫や植物などもX線で調査される。
via:mentalfloss・written hiroching / edited by parumo
















これがなかったら、「仁」みたいにあてずっぽうで頭蓋骨を削る、とかしなきゃいけなかったわけで
そう考えると凄い発見だと思う
※1
ほんとこれ
この発見がなければCTもないわけで、中を診るには体を切るしかない
こういう偶然、突拍子もなく見つかる発見を地道に理論から見つけようとしたら、一体何倍の時間が必要なんだろうね。何しろ光が手を貫通するなんて夢にも思わないって所からスタートするだろうから。そう考えると今文明がこの状態にあるのも、奇跡なのかもしれない。
ロザリンド・フランクリンさんが受賞前に亡くなってしまったというのは、何か裏がありそうな気がしないでもないな、、、。
単にX線の浴びすぎだとか、年齢だとかかもしれないけども
人類史において最重要といっていいくらいの発見が偶然によってなされる・・奇跡に近いことだね
歴史的な背景で,市販で密閉型のかなり安全な汎用X線装置ですら,
設置や移動,取扱いの手続きがものすごく面倒くさい。
当時まだ「光は波」という時代、電磁波の一種で粒子性が高いが故の
産物だ、なんて夢想だにできなかった頃だ。
この後放射線の一種としてγ線が発見され、「光は波であり粒である」という
見識も広まりX線もγ線も超高周波な電磁波だと気付くに至るまで
結構な時間を要している、紫外線で皮膚が焼けるのにそれより高周波な
電磁波を浴びる事が流行るってある意味怖いよね。
毛深い女性のための脱毛に使用されたこともあったんだよ
でも被曝で脱毛しただけなので、怖い話だよ
X線の発見に続けとばかりに研究に没頭したブロンロは有りもしない「N線」を発見したのであった…
どっかの古い建築物の柱が複雑に組まれた二つの材木からできていて、今も構造が分からないと言う話をテレビで観たことがある。X線を使えば解明できるのかな。
>X線という単語は頭痛薬や研磨剤などの販売文句としても持て囃され、広告、歌、漫画などでもよく使用された。
マイナスイオンとか水素水とかパワースポットとか現代とまったく変わらねーな
ほんと医学の進歩は凄い
本気で平気寿命120歳に届きそうだし
ネズミに一晩X線を照射しただけで生物に有害なのはわかりそうなものだけど、まったく未知の状態からだと気づかないものなんだろうね。
技術は指数関数的に進歩するからこれから10年で凄いことに・・
レントゲン博士は多くの人たちに恩恵が有るようにと、敢えて特許をとらないで解放した偉人です。