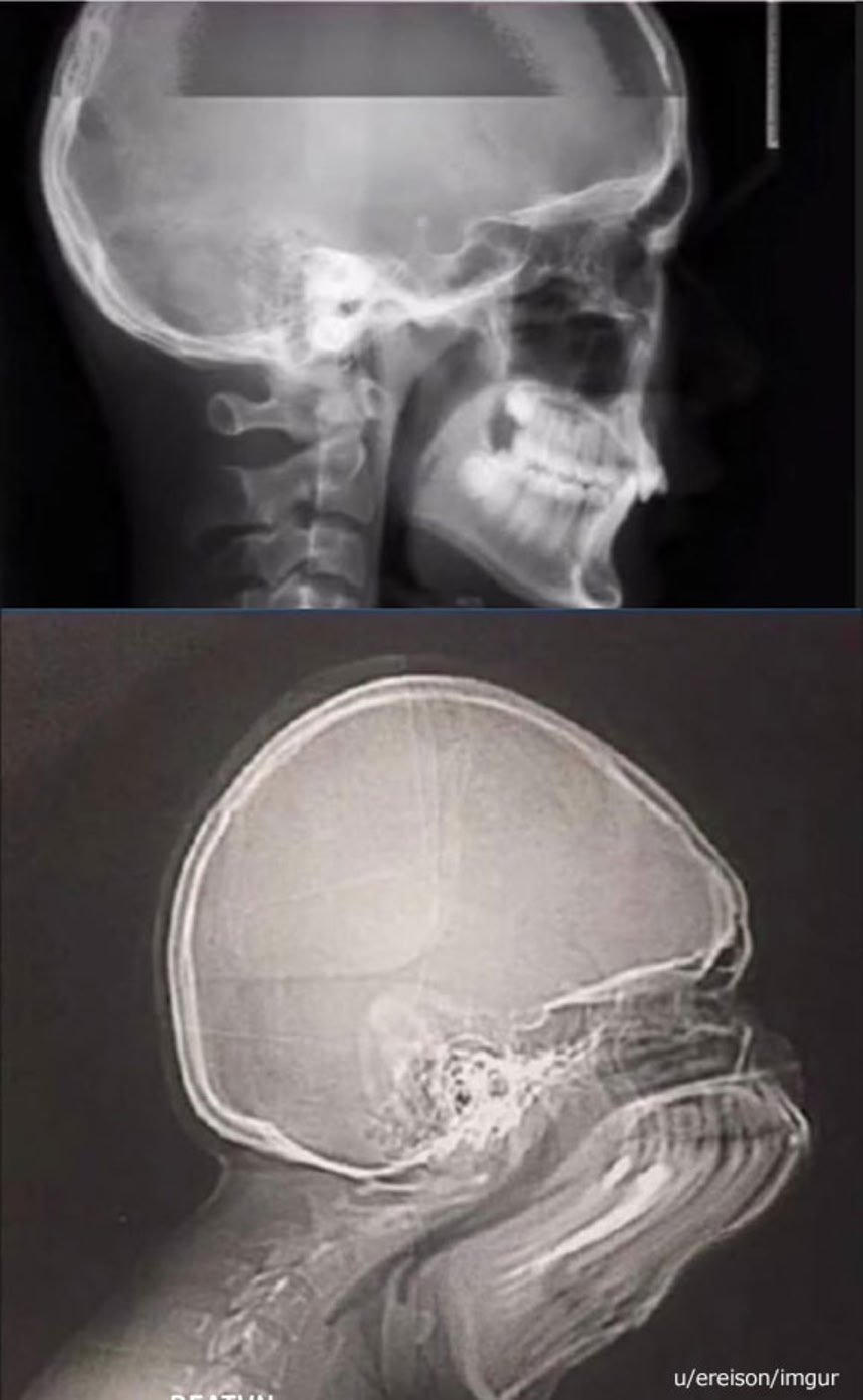
この画像を大きなサイズで見るX線を目的の物質に照射し、透過したX線を検出器で可視化することで、内部の様子を知ることができるレントゲン撮影(X線撮影)は、医療分野において、主に骨や肺の病変を描き出す画像診断として積極的に利用されてきた。
撮影時の注意点としては、動かないようにすることが大事だ。
とはいえ「出物腫れ物所嫌わず」ということわざがあるように、大事な時にかぎってうっかりでてしまうのがクシャミというものだ。
これからお見せする画像は頭部レントゲン撮影中にうっかりクシャミをしてしまったときのものだそうだ。もはや人というよりは、エイリアン…
上の画像は通常に撮影されたもの。
下の画像は撮影中にくしゃみしちゃったときのもの。
この画像を大きなサイズで見るまあ、そうなるよね。人間だもの。
とかじゃなく人間だけど人間じゃない別のものに…
この件に関する海外の反応は…
・オゥフッ!ずっとこんなんだったらやだな。
➡それがあなたの人生さ。受け入れよう。
➡人はそれを進化という。
➡人は進化するとアゴがなくなるのか。
・レントゲンの結果、この人の病気はなんだったのよ?
➡急性中耳炎
➡お薬出しておきます。お大事に。
・「ザ・シンプソンズ」のアニメに登場しそうなやつ
・やばい、なんでだろう?ツボに入って笑いが止まらない。
➡これはネットミームになるやつ
・誰かがこの人物の魂を食ったとしか…
・上のはレントゲンだけど、下のは頭蓋骨CTポトグラムかな。レントゲンなら1秒未満で撮影されるけど、CTポトグラム約2~3秒かかる。
・フォートナイトをプレイする人のように見える
・撮影中にくしゃみをすると、首と残りの頭蓋骨が動くはずだと思うんだけど、これ違うよね?
・西洋では、くしゃみをすると肉体から魂が抜けだして病気になるという迷信から、誰かがくしゃみをすると「ゴッドブレスユー(God bless you):神のご加護がありますように」って言うようになったと言われてるけど、これがその魂が抜けだしている状態?
・くしゃみをしたためにもう1回レントゲン撮影しなきゃならないのやだなー
















二次元キャラでたまにある横顔だw
ウォーズマンかな?
宇宙人のレントゲン写真って言われたら信じる人いそうw
モ、モータルコンバット…
※4
FATALITY…
石ノ森章太郎先生では ?
オゥフッ!
クラゲっぽい
寄生獣のレントゲン写真ですね、判ります
むかーし、ピップエレキバン貼ったまんまで撮影して、撮り直しやったことはあるw
歯の部分がえらいことにw
まるでホウライエソ…
オッサンは知ってると思う、 クシャおじさん。
頚椎が折れそう
※13
くしゃみって意外と破壊力あるので気をつけましょう。
いやマジで。
※14
口を開けないようにしてたかなんかで、喉(気管かな?)が破れた人、いたよね。
くしゃみは腰にすごい負担がかかるとか
※15
知り合いで、くしゃみしてぎっくり腰になった人いる。
自分も腰痛がひどい時は、ショックをやわらげるために壁に手をついてくしゃみする。
※16
私はクシャミで痛い目を見た事は無いが、肺炎が進んだ時にする咳は
かなり背骨が痛い…というのは何回か経験が有る。
相当に肺がやられた時限定だが、たかが咳するだけで苦しいものよ?
咳よりもクシャミの方がショックは大きいから、ダメージも大きい?
前に骨折で腕のMRI撮ってもらった時も、
初心者の技師が固定ミスって、こんな感じで思いっきり歪んだよ。
保険で済ませられてなかったらキレて取り直させてたわ。
シンプソンズに見えた
ワロタ
保存した
クシャミで耳の中痛めたことがある。
まる2日痛みとれなかったわ。
西洋でもクシャミで魂が出るって迷信があるのか。
国が違ってもクシャミに抱くイメージって同じなんだね。
こうみると、脳って重そうだな
くしゃみで何度もギックリ腰再発しているから
しゃがんだり何処かへ手を付いて
衝撃を和らげる努力はしているよ
ただのぶれているだけだよね?
レントゲン写真の露光時間って考えたことなかった。どんなもんなんだろう
クシャミって凄い瞬間スピードだから、写真がブレただけだろw
※28
うん、そうなのだけど…
カラパイア的には、そこに何らかの意味を
(無駄かも知れんけど)見出そうとしてみる…
(エスプリが効いていれば、尚良し)って事かな?
決して強制ではないと思うけど、コメント一般がこの精神かな?
こえーよ
進撃かよ
ヴェノム
俺も世代的にクシャおじさん思い出すわ
仕置人の1話でも鉄にアゴ外されてたな
くしゃみ出そうなときに鼻の下を強く押すと、くしゃみが止まることを知らない人は多い
数年後に「異星人のレントゲン写真」激写される!などと呼ばれて出回る予感
これレントゲンじゃなくてCTの位置決め画像じゃねーか
撮影時間が全然違うよ
普通にこういう生き物だゾ
医学生が面白半分で撮ったに違いない
予想以上にこんなんマンガやん状態で吹いた
塔のラトリアのタコ看守かな?
Q レントゲン撮影中にくしゃみをするとどうなるのか?
A 取り直しですね(怒)と先生にちょっと怒られる
これこそインスタ映えする画像や
Google のストリートビューにありそうな写真だ。
つまりこれは、今度、Google が提供予定の “Google X-ray View” の試験サービス中に撮れた写真なのだろう。
シャッタースピードが遅い感じだな
思ったよりX線を照射してる時間って長いのかも
35が正解 スマホのパノラマみたいな撮り方。