この画像を大きなサイズで見るAdvertisement
白血球の一種、好中球がバクテリアの侵入を探知、じわじわと追いかけて、最終的に捕食するまでの映像がこれなんだそうだ。
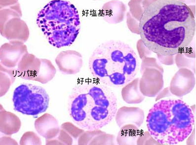
好中球は、強い殺菌・貪食能力を持ち、細菌などの体内の有害物を除去する役割があるんだそうだ。しかし、感染などの防御反応として生体に有利に働くだけでなく、場合によっては組織障害性にまで反応してしまうこともあるという。直径10~12μm。寿命は1~2日ほど。
白血球5つの種類
この画像を大きなサイズで見る📌 広告の下にスタッフ厳選「あわせて読みたい」を掲載中
















思わず白血球を応援してしまったのは俺だけ
吸い取るように捕まえるかと思ったら意外に捕まえるの遅いよね
どうやって敵を認識してるんだろう・・・
挟み撃ちしろ!!と思ったのはオレだけか
バクテリアさん逃げてぇぇぇ!
>どうやって敵を認識してるんだろう・・・
目も鼻も耳もないのにね。
つーか、敵と味方をどう判断してるのかも気になる。
敵味方識別が上手く出来なくなると、リウマチみたくなるんだろうけど。
>>どうやって敵を認識してるんだろう・・・
敵を識別したり記録する細胞がある。
そこからの指令で動いて除去しにいく場合がある。
認識は細胞表面で行なっているから、単にうろうろしてそれっぽいものに触れると襲い掛かる感じ。
取り込む時は表面の受容体が認識してるんだろうけど、明らかに追いかけてるように見えるよな。バクテリアが分泌する物質に対して走化性があんのかね。
白血球ありがとう!
志村うしろーーっ
白血球超かっこいい!!
白血球ステキすぐる!!
ミクロの決死圏観たくなった
白血球は自分の意志でコントロールできる
白血球に恋しそう
白血球って元々別の生物なのかなぁ…
ミトコンドリアみたいにさ。
興味深い
人間が変な食事をしたら、これらの細胞達の働きに異常がでる訳だよね。
そりゃ病気になるわー
バクテリア逃げてる様に見えるし白血球も追いかけてるように見えるよね。どうやってお互い認識してるんだろうか?
表面認識というのは捕まえた後の話で、それまでの遠隔からの認識もあるように見えるよね。
「レセプターに反応!この雑菌がー!」
「バイバイ菌だ」
白血球さーん