この画像を大きなサイズで見るバイクの事故や脳梗塞など、脳にほんの少しのダメージを負っただけで、人体の機能は大きく損なわれることがある。
その一方で、手術で脳の半分を失ってしまっているというのに、どう言うわけか普通に生きている人たちがいる。
実に理解しがたい現象だが、条件がそろえば、脳には欠けた部分を補う力が備わっているようだ。
『Cell Reports』(11月19日付)に掲載された新しい研究では、この驚異的で、しかも不思議な現象がなぜ可能になるのかヒントを与えてくれている。
その秘密は、脳が欠損した部分を補おうとネットワーク結合を強化し、マルチタスク機能を実現させていることにあるという。
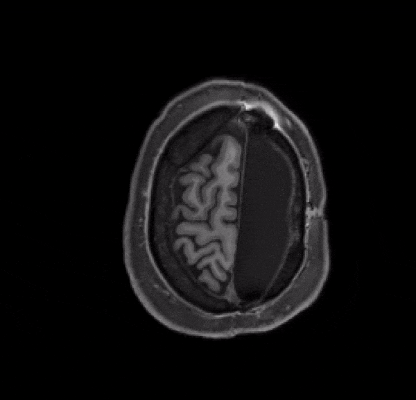
脳の半分を切除した後も、普通に暮らしている人々
アメリカ・カリフォルニア工科大学のドリット・クリーマン氏は、「初めて会ったとき、彼らの状態のことなんてほとんど忘れてしまいますよ」と話す。
「コンピューターの画面で半分しか脳がないMRIを実際に見てもびっくりです。その画像が、目の前で話をしたり、歩いたり、そしてこの研究に協力してくれている同一人物からのものだなんてね。」
命に関わるほど重度で、難治性のてんかんを発症した子供の患者の場合、最終手段として症状の原因となっている脳の半分を取り除く「大脳半球切除」という手術が行われる場合がある。
研究に参加した20~30代の6名は、いずれも子供の頃のてんかんを治療するため、この手術を受けた人たちだ。手術の時期は生後3ヶ月~11歳の時である。
にもかかわらず6名全員が、普通の脳の人と同じように認知能力が機能しており、不自由のない生活を送っているという。
この画像を大きなサイズで見る半分になった脳の中でネットワークの結合が増加する
この研究では、安静にしている参加者の脳のMRI画像を撮り、それをきちんと丸ごと残っている通常のものと比較した。
まず明らかになったのは、参加者の半分だけの脳が示すパターンは、完全な脳のそれと非常に似ていることだった。
しかし、もちろん重要な違いもあった。半分だけの脳のネットワーク結合は、普通よりも多かったというのだ。
この画像を大きなサイズで見るこうしたネットワークは、注意、感覚、辺縁系(感情と記憶)、活動といったものを制御しており、多くは脳の両半球に及んでいる。
これまでの研究からは、ネットワーク内の活動が運動制御などの能力と関係する一方、ネットワーク同士の結合は、作業記憶のような実行能力に必要なものであることが示唆されている。
結合の多さは参加者全員の脳で見られ、個別のネットワークで調べた場合も常に一貫して確認された(たとえば、注意ネットワークは通常より多く視覚ネットワークと結合していた)。
こうしたネットワーク同士の結合パターンは通常の人の脳と同じなのだが、参加者の脳は単純にいっそうたくさんつなげていたのだ。
解明が進めば将来的には脳の治療にも
こうしたネットワーク結合の増加は、認知機能や意識を維持するために、残された脳が失われてしまった脳をいかにして補っているかを反映したものだ、と研究グループは説明している。
なお今回は安静時の状態が主に取り上げられたが、今後は何か作業を行っている最中の脳の状態を調べ、脳が失われた機能を補う方法を解明していく予定だそうだ。
増大したネットワーク結合でマルチタスクを可能にする脳の仕組みをきちんと理解できれば、怪我や病気で生じた脳の損傷の治療にも応用できるかもしれないという。
References:Patients Missing One Brain Hemisphere Show Surprisingly Intact Neural Connections | www.caltech.edu/ written by hiroching / edited by parumo
















の、脳が痛いいィ~!
※1
ゴステロやないの。
物の本で、幼い頃に水頭症になって大人になって病気して調べたら、大脳が殆ど無かったって人の話を読んだ事がある。確か、海外の人で教職に就いてた人だったかと。
無くなった部分の機能を他が肩代わりしたり、幻肢症みたいに無い筈の手足を感じてみたり。脳って本当に不思議。
でも成長期の子供でないとダメなんだろうなあ
昔から「人間の脳は普段1割程度しか使われてない」とか言われてるけど、それを実際に証明した研究だね
最重要器官だからこそいざというときの余力もたっぷり備えてあるんだろうな
※7
「脳の10パーセント神話」でググって下さい。残念ながらそれは都市伝説です。
人体内で「進化の過程で不要なり痕跡のみ残っている」器官はあるが、大脳で言えば無駄に存在している部分はない。すべての部分が働いていることは脳機能マッピングから分かっているそうです。
この記事では、たとえ脳の半分を失ったとしても、残った部分が再度配線をつなぎ直す、または配線ケーブルを増強することにより、必要な機能をある程度取り戻すことができる、ということだと思います。
他の諸器官と同列に扱えないとは思いますが、必要に迫られれば、人体の各部分は、その役割を変化させられる柔軟性を程度の差こそあれ含んでいる、その余力をもって「1割程度しか使っていない」と比喩的に表現するのはアリですね。
※18
うん、だから比喩的のつもりだったんだけどガチ解説させちゃってごめんね
残った部分に余力がないと配線の再接続や増強もできないだろうし、無駄な部分が多いとは言ったつもりはなかったんだ
※31
それは失礼しました。余力や冗長性も含めて、生物の体は本当によく出来ているな~と思います。うちの母親は胃全摘してずいぶん経ちますが、腸が成り代わって機能してます。
※35
どうなんでしょうね。脳も壊れない程度には頑張っているとは思いますが、そのかわりたっぷり睡眠を取るとか、何か保護機能みたいなものがあるかも。
>>18
余力はあるけど全力出してるってことね。
コンピュータもそうだけど処理能力最大限使ってたらにそらすぐ壊れるわな。
そう考えるとこの人たちの疲労感や寿命はどうなんだろ。
※7
ならなんで小さな脳梗塞で血管が少し詰まって、周辺の細胞がやられたくらいで
簡単に喋れなくなったり、麻痺が出たり、認知症になったりするんだよ?
※33
おそらく・・・なんだけど、こどものころは脳はまだ成長中で、そのころに脳の一部が欠損した場合には、新規構築される→人並みの生活ができるようになる。
大人になったときには、脳の使われる場所はもう決まってしまってるから、一部が欠損するとその機能が失われるってことで、新規構築がなされるなら、いわゆる回復が見込めるのだと思います。
まぁ、この辺がそれなりにはわかってきていますが、まだわかってないところですね。
リハビリってのは、脳のまだ生きてるところでこの辺の新規構築をすることで、大人でも全く戻らないわけじゃないです。成長中にくらべて遅いのよ。
脳の完成が 7 歳だとか、15 歳だとかいわれるけど、それまでにアルコールをとったり、たばこを吸ったりとか、薬物接種は成長中の脳には非常に大きな影響(たいていは害)があるので、禁止してるんですね。だから、親せきで集まった時には面白がって子供に酒飲ましたりしちゃダメよ>オッサン(がほとんどだよね)
脳も所詮ただの臓器よ(暴論)
子どもうちからどこまで切ったらダメなるんだろうと思ったけど
そういうのが昔の狂気の実験になるんだろうな
幻肢痛については筋膜の関連痛の方が原因みたいな説もあるな
不自由ない生活ということは脳を半分を切除しても半身不随にならなかったってことか
銃の事故で頭半分吹っ飛んだ人が後に大学を卒業して普通に就職したという話を見たことがあるが、その人は車椅子だった
※11
他の人も言ってるけど、
まだ脳内の連結が形成途上にあり修復に柔軟な幼児と
既に出来上がっている連結が破壊された大人との差は、
それなりに大きいんだろうなぁ…。
欠けた方をシミュレートしてるのかな
ハイパースレッディング的なコンピュータ技術に例えられそうな気がしなくもない
ロボトミーで有名な精神外科手術は禁忌とされてるけど、あれとは別扱いなんだろうか
まあ違法ってわけじゃないから本人の同意を得て医者が執刀すれば精神外科だったとしても問題ないんだろうけど
>>13
患部を見ないで適当にノミで削るような雑な手術とは違う。
>>13
てんかんはそもそも精神病ではなく神経の病気だし、問題を起こす部分は特定されてからの手術だからね
難治性てんかんはあらゆる薬が効かないので外科的にしか方法がもうないんだよ
この手のニュース
見るたんびに思う
意識または「心」って何?って
脳が丸々残ってても
サバン症候群みたいな
人達もいて
臓器移植すると人格が
変わる例もあると聞く
神経は再生しないから
繋がるわけでも無いのに
もうわけわからん
脳を半分にしても機能するなら2つの脳にそれぞれ意識があるのだらうか
つまり一人の人間が二人になるのだらうかね
※15
おもしろい考えだね
視覚だって実際は左右目で別々に見たものを
脳で統合して1つの像としてみているのだから
思考だって2つあるものを統合しているのかもね
だって夜中に小腹が空いたときに
「買い置きの菓子パンあったよなあ…食べちゃえ」って考えと
「あー…まあいいや朝まで我慢しよう」って考え
湧いたりするじゃない
※62
※46の人も言及しているけど、「分離脳」の症状エピソードをいろいろ見てみると面白いね。
「左視野(右脳)のみで見たものは、無意識下で知覚していても、思考上での認識や言語化(左脳)ができない」というのが典型症状のようだけど。
左右に設置した電球を点灯させて「どちらが光りましたか?」と訊くと、口頭では「右だけ」と答えるけど、「点灯したら指さしてね」と指示すると左右どちらも指させたり。
はたまた、左視野で雪景色・右視野で鶏足の絵を見せ、それぞれに関連する絵カードを選ばせると、左手でスコップ・右手でニワトリを取った。が、何故それを選んだか問うと、スコップは「鶏小屋の片付けに使うため」と答えた(実際には、雪かきを連想したのだと思われる)。あるいは、左視野に「歩け」の指示を見せると歩きだし、「なぜ歩いたのか?」と口頭質問すると「喉が渇いたから取りに行く」と答えたり。(この手の合理化現象は、催眠暗示のケースにも似ている気がする。)
さらには、将来志望する職業は製図工だという人に、左視野で「やりたい仕事は?」の質問を出し、左手で回答を書かせると、「カーレーサー」だったり。
この感じだと損傷した部位の切除だけでなくもっと広範囲に切除するのが正解なんじゃないのか、損傷個所周辺に脳がアクセスしてエラーで機能不全なだけで確実に無いと脳が判断すれば別の個所に機能移転する、そんな怖い実験体になりたくないが今苦しんでるならやってもいい
>>16
医学論文には症例の積み重ねとMRIなどの診断技術の進歩によって必要な切除部位が明確になり、今は文字通りの半球切除は少ないと書いてありますね。
確か、脳に局部麻酔して行って、意識があるところを突き止めたとかあったと思う。大脳辺縁系付近だったような気が・・・ iPS細胞で脳が増えないのかな
脳が半分ずつ睡眠をとれば24時間起きていられる、と一瞬思ったが、覚醒している方の脳は睡眠している脳と連絡が取れないので意味が無いとすぐに気づいたw
※19
野生動物には「半球睡眠」という便利な能力をもつものがあるらしいです。睡眠中にどちらか半分は脳が覚醒していて、外敵の襲撃に備えている。渡り鳥はそれを利用して長時間飛行することができる。
まあそれで24時間戦えるワケではないですがw
>>19
そんな人間イルカ‼
Oh ノォ…!
>>20
くそっ…こんなので………w
「普通に生活」はどこまで普通と考えるんだろう。
本当にその子たちは後遺症がないんだろうか?
※21
「不自由のない生活を送っている ≠ 後遺症が無い」
だと思う。
例えば、極端な例だと
幼少期に両腕を失くした人でも、それを補うように
脚がものすごく柔らかく指も器用に動くよう成長して
日常生活では何ら不自由してない、ってケースでは、
腕を使っている健常者の「普通の生活」とは異なるけど
機能としてはほぼ問題なく脚が腕の代替を果たしている。
脳の管轄領域の欠損を別の部分が代行しているのも
イメージ的にそんな感じなんじゃないだろうか…??
子供の時というのが重要なのかな
脳ってその時の行動や認識するものによって使う場所が違うから同時に全部(100パーセント)使う事はない。だから1割しか使ってない、7割しか使ってない、って事になる。ソースはここじゃなかったか?
半分をコンピュータにすることも出来るな
うまく言えないから失礼な言い方になるけど、こういう手術した人達は普通に生活できるのになんで脳みそまるごと無事な知的障害の人は普通になれないんだろうか
脳の分野の研究が進んだら知的障害も「治る病気」になる日が来るのかな
※27
知的障害者がどのように知覚しているかは知りたいとは思う
視覚はどうなんだろう。左右の眼球から延びた神経は左右の大脳に繋がってるから失われた側の目玉は如何に。
開き盲?
※30
× 左右の脳が、それぞれ右左の眼球と繋がっている
○ 左右の脳が、それぞれ右左の視野を受け持っている
だそうだよ。
なので、片側の脳の画像処理部分が損傷した場合
「片方の眼球が見えなくなる」んじゃなくて、
「片側の視野が欠ける」状態になる。
ただ、幼児期に脳を欠損してその機能を補う箇所が
別の部位に作られているこの人達の場合、
欠けた視野の処理を担う部分が出来ていて
全視野が普通に見えていたりするのかも?
※30
記事中にある動画を見ると
両方の眼球はちゃんと接続されてますね。
脳の血管詰まったらかなり深刻なエラー出たりするのに
ある道路が通行止めになったら、迂回路を探す、ということかな。
脳の回路は想像以上にフレキシブルなのかな。
「脳髄は物を考える処に非ず」
眼球つながってるのは小脳だっけ?
大脳が半分無くなっても生きてる人がいるってことかな?
当たり前のように自分にも付いてるけど、脳の働きは不思議だよね~。
無脳症なのに普通に生きてる子供も一人いるからなー
自分の脳が半分しかないと想像するとかなりホラーな気持ちになるね
脳は損傷しても補完し合う仕組みが備わっているのかもしれないね。
通常において脳は、その組織をフルに使っているが、ある事に対して同じ判断結果を導くためにコンピュータ等で故障を回避する仕組みの様に同じ問題を複数のコンピュータが解いて得た回答を多数決で決めてエラーを避けるといった事を脳もおこなっているのかも?
(多重処理系が同じ判断をできない状況が頻発すると多重人格になるとか?)
うる覚えだが脳の記憶容量は寿命200歳位までキャパシティがあるなんて、なにかしらで読んだ記憶がある。
一般的な生活に支障が無くとも脳が損傷した事で生涯において記憶できる量が減った可能性もある。
同じてんかんの手術で左脳と右脳を接続している脳梁を切除する手術が行われていた(今は行われていない)。
この手術を受けた患者は分離脳と言われ、左右の脳に別々の意識が生じたのだそうな。つまり一人の人間に二つの意識が存在する状況になってしまったという。
ちなみに健常者のように脳梁で繋がっている状態では左右の脳活動が統合され意識は一つのものとして現れる。
現在のところ意識の有力な理論とされる統合情報理論ではこの点が上手く説明可能になるんだ。
このことを見るとやはり意識は脳から発生していると考えるのが自然かな。
脳梁切っても普通に生きれるみたいだけど左脳の意識の人と右脳の意識の人が同じ身体に存在してることになるんやろうか
このような事例が、1993年のNHKスペの「脳と心・第二集 知覚」で紹介されていた。
日本人で、右大脳の損傷にもかかわらず左大脳の機能を使って好きな絵を描き続ける人物。
いまは50歳になるのだろうか。
半分切除してもネットワークが増強されて1個分の機能をおぎなえるのならば
なんらかの手段で人為的に1個丸ごとのままネットワークを増強したら、通常の2倍の処理能力をもつ超人間になるのだろうか。
いったいどうなるのか想像もつかない。
腎臓とか肺とか左右2つある臓器は予備だろうな
重さのバランスどうなんだろうとか、空いたスペースは空洞なのかとか小並なことが気にかかる。
※55
よく知らないけど、
空いた部分は、髄液とか間質液とか
要は薄い塩水的な物で満たされてるんじゃないだろうか?
人体と生理食塩水の比重を考えると
そこまでアンバランスって程ではなさそうな気がする。
このテーマ他でも書かれていたが脳独自の再生機能なのか
てんかん患者独自の回復過程なのか議論されていて
てんかんに関連しているのではと言う見方が優勢だった
つまり脳梗塞の人などが後遺症を負う一方で若年層のてんかん患者は
脳を切除後日常生活を自力でおくれるほど脳機能が改善再構築される
それはてんかんと言う病気の症状のひとつなのでは?と言う事だった
あと日常生活が不自由なくおくれて会話も成立するらしいけど
同年代と同程度の学力とかはどうなんだろう そっちも回復するのだろうか
それとも複雑なことはカバーできなくなるのかなと言うのにも興味がある
まあ、だとしても発作や死におびえることなく日常を過ごせるなら
そっちの方が幸福だよねって思うけど
※56
以前、中国の貧しい村の少年のニュースを見た。
幼い頃に火事に遭って頭部を火傷し、それ自体は大した怪我ではなかったが、病院代が払えなかった為まともな医療が受けられないまま退院し、数年かけて化膿で頭蓋骨や脳を徐々に損傷して、10歳前後か10代前半ぐらい(ウロ覚え)で余命宣告されていた。その時点で、寄付を募るニュースになった。
結局、春節(旧正月)までもたないだろうという医師の見立てどおり死亡したけど、驚くべきは、「それ死後解剖の写真じゃないの?」というコメントが続出するくらい露出して腐敗が進んだ脳でも、喋ったり学校の宿題をしたりできていた。「脳の失われた部分の機能を別の部位が補っているのではないか」と主治医が語っていたと思う。
>>56
手術適応になるような難治性のてんかんの場合、重積発作を繰り返すことで脳にダメージを追って発達が遅れたり後退したりして重度の知的障害に至ることが珍しくないので、生活に支障がないなら上出来ですよ。
この手術を受けた人の学力が平均より多少低かったとしても、それは安心と能力を天秤にかけて安心を選んだってことではなく、安心と能力の両方を手にしたってことです。
脳が心を作っているというより、心が脳を動かしているという見方も最近強まってるそうだ
医学会の人間でもない割に良く論ずる方たちだと思う。
一般民は使える医療を使って、傷を病を治すほかないのだから。
しかもこのやり取りは、医学界に何の影響ももたらさないものなのだから。
フィニアス・ゲージの例は有名だが、他にも爆発事故で飛んできた鉄の棒に片方の眼球を貫通されても生きてた人の話も聞いた事がある
自殺で自分の頭に発砲して助かる人の話もたまに聞くし…人体ってホント凄いよな
>>59
大脳を撃っても助かったりするから、確実に自殺したい人は口に銃を入れて小脳やら延髄やらを撃つんだっけ。
だからといって半分だけの脳で大丈夫というわけでもないでしょう
脳内のネットワークが強化されることが知能の増強につながるということがわかったということ。それにピアノが弾ける人が小脳の細胞が5パーセント多いように後天的に脳細胞が増えてる可能性もあるよ。
脳は基礎研究は大分進んだけどまだまだ研究段階なのは事実だね
こういう症例みたいに分かりやすく範囲を狭めれば脳の反応が特定出来るけど
統合失調症とか自閉症はまだ確定出来てない
脳を見ても分からないからね
こういうので研究が進んでアルツハイマーも治る病になれば良い
癌か何かの病気で内臓の大半を失った人が生存している例もあるし、
割かし臓器は無ければ補完する柔軟性があるということだよな。
子供の時はシナプス刈り込みがまだ始まってない、そこまで進んでないからこういう芸当も可能なんだろうね
逆にニューロンの補充ができるのであれば将来的には大人でもどうにかなるかもしれない
リスクとしててんかんみたいな病を患う可能性もありそうだが