この画像を大きなサイズで見るキラーアンブレラ、インスタント指紋、ピッキング携帯電話など、ジェームズ・ボンドやその敵たちは、ずっと奇妙なスパイツールを使ってきた。しかし、古い映画の中で見られる型破りな機器のほとんどは、現代の飛躍的な消費者向け技術の躍進と比べるとすたれてしまっている。
現在のスマホで10年前にできたことよりもっとたくさんのことができるというのは、ワシントンにある国際スパイミュージアムの歴史家ヴィンス・ホートン氏だ。
例えば、現在、こうした機器は完全にワイアレスになっていて、イヤリングやボタン、皮膚の下にまで隠せるほど小型になっている。現在の最先端スパイ技術のほとんどはいちおう機密扱いになっているが、一風変わった技術のいくつかはリークされている。盗聴技術やプログラミングされた猫まで、実際にある信じられないようなスパイ技術をあげてみよう。
1.冷戦時代に使用された毒弾発射用傘、口紅型銃
この画像を大きなサイズで見るスパイ行為は人間の文明と同じくらい古い歴史がある。古代バビロニアのハンムラビ法典にも旧約聖書にも、敵より優位に立つための手段としてのスパイ行為の記述がある。近代国家の台頭によって、スパイツール全盛時代がやってきた。
冷戦時代、ジェームズ・ボンドのスパイツール黄金期、現実の世界でも実際にこうした道具が作られ、使われていた。ブルガリアの暗殺者がリシン毒を仕込んだ弾丸を放つ傘を使って、ロンドンでソ連の亡命者を殺したり、ソ連も至近距離から撃つことのできる口紅型銃を開発した。これは“死の接吻”として知られている。
2. 猫に盗聴器具を仕込んだCIA、更にはマインドコントロールも
この画像を大きなサイズで見る冷戦時代には、いくつかのとんでもないアイデアが考え出された。当時の盗聴器は性能が悪く、背景雑音を除去する機能が劣っていた。そこで、1950年代から60年代にアメリカのCIAは動物の耳の蝸牛(内耳にあり聴覚を司る感覚器官・蝸牛管が納まっている側頭骨の空洞)を利用して、ソ連をスパイするアイデアを思いついた。
猫の耳の外耳道にマイク、頭蓋のそばに無線送信機、腹にバッテリーを埋め込んで、尻尾をアンテナ代わりにしたのだ。しばらく障害物をよけてターゲットに近づく訓練をしたが、残念なことにこのハイテク猫はエサを求めてふらふらさまよってしまうことが多く、人間の望みどおりには動いてくれなかった。
そこで、研究チームは初心に戻り、猫が空腹を感じないように改良した、だが結局、この高価な猫は道路を渡ろうとして車に轢かれてぺしゃんこになってしまったという。
この画像を大きなサイズで見るさらにCIAは何十年もの間、スターゲート作戦に大金をはたいてきた。これは、霊能者を使ってソ連の機密をあばこうという作戦だった。クリントン政権時代にこの作戦チームは解散し、今度はLSDのような幻覚ドラッグを使って、マインドコントロールする悪名高きMKウルトラ計画に資金をつぎ込んだ。
3. 会話している場所を撮影するだけで会話の内容を再現する「視覚マイク」
こうしたとんでもスパイツールを開発しているのは政府だけではない。テキサス大学の研究者たちは、会話が交わされているまわりの写真を撮るだけで、その会話を再現できる技術を開発した。これは2014年のデジタル国際会議SIGGRAPHで発表された。
この盗聴システムは、肉眼ではわからないが、カメラではとらえることのできる微細な振動を発する音波の性質を利用している。この振動を分析して、元の音を再現することができるのだ。この新しい技術は、理論的には部屋の写真やビデオを撮れば、盗聴器を仕掛けたり、ドアに耳に押し当てなくても、誰でもその部屋で交わされた会話が再現できることになる。
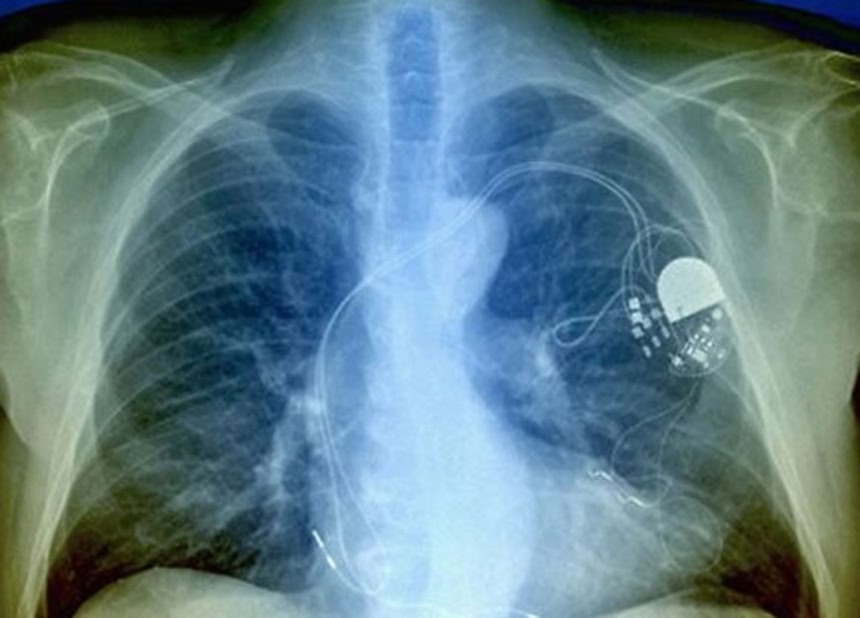
4. 医療器具ハッキング
この画像を大きなサイズで見るインスリンのポンプや埋め込み式除細動器、ペースメーカーなどのように、ワイヤレスで電池式の医療機器は外部からハッキングすることが可能だ。2011年、ラスベガスで開かれた安全保障会議で、ハッカーのジェローム・ラドクリフが、自身のインスリンポンプにハッキングしてみせた。さらに数年前、ペースメーカーにもハッキングしたハッカーがいた。
これまで、人体に埋め込まれた医療機器が悪意をもって改ざんされたケースが詳しく報告されたことはないが、こうした危険も起こり得るという意識から、アメリカの政府系監視機関である政府説明責任局が、食品医薬品局から各医療会社に医療機器のこうした脆弱性を排除するよう要請する運びとなった。
5. 顧客を認識するマネキン
この画像を大きなサイズで見る国際的なスパイは敵を監視することだけが仕事ではない。各企業は自社製品を買う消費者について知りたがっていて、将来的には顧客それぞれにマッチしたマーケッティング戦略や監視を密かに目論んでいる。
イタリアのアルマックスという会社は、アイシーというバイオミックマネキンを開発して、服飾店に配備した。マネキンの目には顔認識ソフトのついたカメラが内臓されていて、店に来る客の年齢、人種、性別などを特定することができる。どんな客がどんな商品を買うのかを推測することができるのだ。
6. 量子暗号化技術
この画像を大きなサイズで見る世界中のスパイ組織の究極の目的は、完璧に安全な伝達方法を構築することだろう。素粒子物理学の原理を利用して特定の受け手だけがメッセージを読むことができるにする、量子暗号化の技術が、絶対解読されない暗号を作るキーになるかもしれないという。
現時点では、完璧な暗号化は不可能だが、量子暗号化ならば、国家安全保障局でも解読できない最強の暗号を作ることができるという。今のところ、量子暗号化は概念実証の段階だが、実用化されつつあり、各国政府もとても興味を示している。この難題を克服する最初の国になれば、他国よりかなり先んじることができるだろう。
















イーサンハント大好き
以前米国公売でただのカメラと書いてあるものが
出たことあるけど、形や性能がすでにスパイ系モノで
とぼけちゃだめだwと突っ込みいれたことがある
いくら古いからといってよくまあ売却することで
この量子暗号機は最強の暗号を作れると同時に最強の暗号解読機にもなる
現実に実現したらどうなるか誰にも分からない
にゃんこは本当にぺしゃんこになってしまったのだろうか。
失敗したと情報を流せば、警戒は薄れるよね・・・
※4
別にそんなこと無いんだが
量子化することでよそ様が覗き見すると変化が生じて鍵が漏れたことを検知できてそれが無い鍵だけ使えば盗聴に対して超安全って話
要は超高性能ワンタイムパッド
量子コンピューター使ったからって乱数の鍵を解除できるはずもなし
逆に送受信の安全しか保障できないからバックドアから何から他は何でもできる
※4
暗号は作るのにはさほどスペックはいらないよ。
例えば100列あるルービックキューブを想像してほしい。
これをぐちゃぐちゃにして、ぐちゃぐちゃにした手順をメモっておけば
(正確にはメモする必要すらない、コンピュータが勝手に記録してくれる)、
それで暗号の完成だ。
この暗号を破りたい側は、そのメモも無しに途方も無い手間をかけて
元の形に戻すのに挑戦する羽目になる。
それが1000列、10000列になれば匙を投げたくもなる。
手間が圧倒的に違うんだな。
※12
そんなわけで、抜け道があるとしても、それを特定する為に
最高のスパコンを使っても数百年かかるくらいにキューブの列数を増やしてしまおう、
といった感じ。
一番の抜け道は「暗号を作った側のPCを覗き込む」事だけどね。
昔の子供は皆スパイだったし。スパイ手帳っつーのが売っててだな・・・
(3)は、昔ドラえもんで読んだことがあるぞ。さすが藤子F不二雄先生!
※7
平清盛だかが町に赤い服を着た子供を放っていた話を思い出した
やまびこやまが実際にあるとは!
絶対解読出来ない暗号って言ったって人間が作る技術なのだからなにか抜け道があるはず
昔は007の秘密兵器にわくわくしたな~
今やスマホ一台あれば誰でもスパイになれる時代
日本にも鬼女という怖い物無しの探偵が居ますけどね
この文章だとスターゲイト計画の後にMKウルトラみたいだけど、実際はMKウルトラは50年代~70年代後半くらいで、スターゲイトは70年代初頭くらいから始まったんじゃなかったけか。記憶違いだったらゴメソ。
(2)のスターゲイト云々の内容は時系列に間違いがある。
MKウルトラ計画は50年代初頭~60年代末までで、LSDのみならず、放射性物質を含むありとあらゆる手法で洗脳実験を行ったため、倫理的な問題で終了。
スターゲイト計画は、70年代初頭~95年に成果無しとみなされ失敗に終わる。目的が同じなだけで、受け継いだわけではない。
クリントン政権時代には、冷戦終結直後ということもあってかCIAの大きなプロジェクトは始まっていないはず。
NSAによって2007年に始まった、通信監視プログラムのPRISMが最近では有名。