この画像を大きなサイズで見るトーマス・エジソンは、「天才は1%のひらめきと99%の努力である」という名言を残した。また、「努力に勝る天才なし」という諺もある。だが実はその「努力」を継続して行うことができることこそが「脳」の違いによるものなのだという米テネシー州、ヴァンダービルト大学のマイケル・トレッドウェイが率いる研究チームの研究論文が、『Journal of Neuroscience』誌に発表された。
人には、どんなに退屈な単純作業であっても最後までやり遂げようとする意志の強い人と、途中であきらめてしまう人がいる。人間の内側では常に、何かをやり遂げようとする「動機の維持」と、つまらないから逃れたいという「動機の放棄」がせめぎあっている。そんな時、外からの刺激はとても新鮮だ。努力を続けるその決意は、一時の快楽を得る為にもろくも崩れ果てていく人も多い。
人間の頭の中で行われている「動機の維持と動機の放棄(努力と怠慢)」の綱引きのメカニズムを探るべく、マイケル・トレッドウェイが率いる研究チームはこのような実験を行った。
この画像を大きなサイズで見る被験者25人に、自分の利き手で7秒間に30回ボタンを押すという「簡単な課題」か、利き手でないほうの小指で21秒間に100回ボタンを押す「難しい課題」のどちらを選ぶか選択させた。いずれにせよ死ぬほど退屈な作業だ。「難しい課題」の報酬は「簡単な課題」よりは高いが確実に得られるとは限らないということも告げられた。
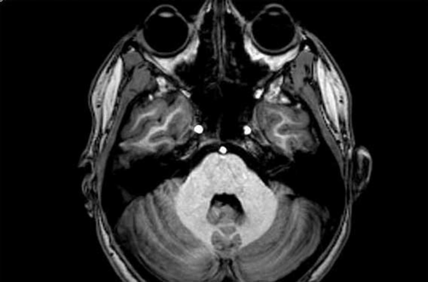
被験者がボタンを押す間、研究チームは、PETスキャンを使って被験者の脳の変化をモニタリングした。このPETスキャンは、大脳皮質全体のドーパミン・ニューロンの活性を追跡できるように修正をほどこしたものだ。それによって、ドーパミン作動性活性と、ひどく退屈な作業を続けようとする被験者の意志との間に、相関関係があるのかどうかを調べることができる。
研究の結果、ボタンを押すのを途中でやめてしまう人と、たとえ小指が痛くなってもボタンを押し続ける人の違いが明らかになった。
この画像を大きなサイズで見るまず、左線条体と前頭前皮質腹内側部におけるドーパミン作動性活性が高い被験者の方が、そうでない被験者よりも報酬を得るために努力する意欲が高いことがわかった。
この違いは、報酬を得られる確率が低い場合に特に顕著に現われた。実際に金銭が得られるチャンスはごくわずかでも、このタイプの被験者はどうにかモチベーションを保ち、単純作業を続けることができたのだ。
脳のこれらの領域は、「損得勘定」と結び付けられている。努力がその犠牲に見合うかどうかを脳は常に自動的にかつ無意識に計算しており、努力に見合わないと自らが判断した場合、努力を維持させるのが難しくなっていく。
この画像を大きなサイズで見るさらに、今回の研究では、島(とう)皮質のドーパミン活性と、努力しようとする意欲との間には、逆の相関関係が存在するという驚くべき結果も明らかになった。
左線条体と前頭前皮質腹内側部の活性化により脳内に囁かれる「がんばって!継続は力なのよ!」という天使の声を、島皮質の活性化が「ああつまんない。続けても意味なくね?それより他に楽しいことしようよ」という悪魔の声でかき消していくのだという。島皮質のドーパミン作動性活性が高いほど、努力の苦しみはより顕著になり、そのせいで、われわれは努力をやめてしまうのだ。
人にとって最も必要なタスクは、しばしば最も楽しくないことでもある。さらに、成功を得るためには人は長い時間努力し続けることを学ばなければならない。近道は存在せず、才能に恵まれた者も、努力を続けなければならない。
この画像を大きなサイズで見る今回の研究結果により、「努力ができる人」というのは、「報酬が得られるかどうかわからない不確実な可能性」からも、ほんの少しだけど他の人より「快楽(左線条体と前頭前皮質腹内側部のドーパミン活性化)」を得ることができ、その一方で、自分の内なる「不満(島皮質のドーパミン活性化)」の声に鈍感でいられるという脳の働きをしているということが推測された。
要するに「努力できる人」は、努力を続けることで得られるかもしれないほんの少しの可能性の方からも「快楽」を引き出せ、なおかつ、「悪魔の誘惑」の声に惑わされない脳の働きをしているということだ。つまりは多大な努力をそれほど苦労と思わずにできる人なのだ。
「努力に勝る天才なし」とは言え、天才はその「多大なる努力」を続ける能力にも恵まれているということになる。
努力を続けられない言い訳なんて100も1000でも口からスラスラとでてきちゃう凡人の場合には、内なる悪魔の囁きから逃れるのも苦労を要するわけだが、「努力」を「快楽」に変えるイメトレを続ければ、きっと「無駄な努力なぞない!」と思える強靭な意思を身につけられるとそう信じて、とりあえず3日坊主だったジムに再びいくことにしようかと思ったけど、やばい一瞬で島皮質のドーパミンが活性化してきたぜ。あたしの内なる声が「え?いっても無駄じゃん。運動つらいじゃん。どうせ体型整えてもも見せる場所ないじゃん」とか言ってる始末。
関連記事:


ゲーム好きな人の脳は灰白質が大きいという研究結果が発表される(ベルギー研究)

猫が人を元気にする理由は寄生虫によるマインドコントロールかもしれないという仮説(欧米研究)
















努力できる人ほどうらやましいもんはない
はじめの一歩はいい漫画だったな・・・
※2
「だったな」って一応まだ連載終わってないよ
みんなの心の中では何故か終わっているけど
知ってた↓
これはホントそう思う
努力で快楽感を得られるって事が才能があるって事
俺にとっては大抵の努力が苦痛すぎる
結局、好きで快楽を感じることが、長続きするってことですね?
ぱるもたんは、カラパイアを毎日更新してるんだからすごいよー。
ジムはきっとつまんなくて、モチベーションが続かないのでは・・・?
エジソンの名言は、嘘だけどね。
エジソンが嘘を言っていたとかじゃなくて、エジソンを理解出来ない凡人が大衆に対し、
良いことを言いましたよってな、都合の良いとらえを出来るように、
本当に言ったことを、書き換えた、みたいなこと。
ピンポンの名セリフ。
「血反吐吐くまで走りこめ、 血便出るまで素振りしろ。 そうすりゃちったぁ 楽になんだろ。」
血反吐吐くまで努力した事あるかな?って思ったら、少し頑張れた。
※7
最近問題になったブラック企業社長が似たようなこと言ってたぞ
過労死するなよ
※17
そういう事を企業がさせたなら、それ相応の給料と社会保障があれば問題無い
駄目ならicレコーダー持ってハローワークと弁護士に直行
※7 コレ思い出した
渡邉美樹 和民
ワタミ社長「『無理』というのはですね、嘘吐きの言葉なんです。途中で止めてしまうから無理になるんですよ」
村上龍「?」
ワタミ「途中で止めるから無理になるんです。途中で止めなければ無理じゃ無くなります」
村上「いやいやいや、順序としては『無理だから→途中で止めてしまう』んですよね?」
ワタミ「いえ、途中で止めてしまうから無理になるんです」
村上「?」
ワタミ「止めさせないんです。鼻血を出そうがブッ倒れようが、とにかく一週間全力でやらせる」
村上「一週間」
ワタミ「そうすればその人はもう無理とは口が裂けても言えないでしょう」
村上「・・・んん??」
ワタミ「無理じゃなかったって事です。実際に一週間もやったのだから。『無理』という言葉は嘘だった」
村上「いや、一週間やったんじゃなくやらせたって事でしょ。鼻血が出ても倒れても」
ワタミ「しかし現実としてやったのですから無理じゃなかった。その後はもう『無理』なんて言葉は言わせません」
村上「それこそ僕には無理だなあ」
そして社員を追い詰めた結果が自殺か…
※27
その状態を無理って言うんだよな
ラッキーでどうにかする。
それが、ボク、ラッキーマンだ。
わかりきってることじゃん
努力する人と努力しない人がいる
実験終了
世の中に甘えはない。結果がその人の実力何だよ
脳の構造が違うってのと,それが遺伝で決まるってのとは別だわな.
遺伝だけじゃなく生活環境もあるだろうね。
トンデモ論なのかもしれないが「天才は冬に生まれる」なんて本もあるしw
ポケモンのたまご厳選やレベル上げなどわ、才能が必要なんだな。理解した。
barumoたん、いつか整えた体型を見たいものだ。
人生は捨てたものではない。
いつかシンデレラになれるぞ。
夢は叶うもの。
願わなければ、何も成就しませんよ。
まぁ~ 体型美人よりもこころの美人のもんだが・・・。
いいね。「天才は冬に生まれる」は一理あるよ。
産業革命は寒いイギリスで起こったのだからね。
※14
一理ある
中国には熱い所から賢者は産まれないって諺がある
努力を努力と思わず、「好きだからやってる」で
続けてる人が成功するんだろ。そこから創意工夫
も生まれるんだし。
根性論じゃ、すぐ挫折するよ。
南無阿弥陀仏を書かない努力をしてね、電脳さん。
「すべからく」の誤用例
>>18 すまんのうー、じっちゃんが誤用してたのを、そのまま覚えちゃったんじゃ。
俺だってやる時はやる!俺だってやればできるんだ!
これがウソだってのは知ってたけどね。
一歩間違うと、無能な働き者になるから、方向性に気をつけないとね
これって発達過程も重要なんじゃないのかな。「頑張ったこと」に対して褒めてもらったり何かしらの褒賞を受けて育ってきた人は、脳が「頑張ったら気持ちがいいことがある」って無条件に認識するようになるんじゃないかな。パブロフの犬だっけ? 子供は褒めて育てるのが大切みたいなのはこういうとこから来てるんじゃないのかな。
>>23
それはおおいに関係してると思う
努力の中にもいろいろなタイプがあって一括りにしてるのがダメだよね
意味のある努力と思えるかどうか、努力というか作業自体に楽しさをみつけれれば
結果がどうであろうと続けられるんだろうな
上の※にも書いてあるが、
努力の方向性を間違うと
ただのやる気のある無能が誕生するからやっかい
そしてそういうやつが周りにいると自分の成長すら止まる
一番身近に置きたい人物は、効率の良い努力で結果を残せるやつかな。
だけどそれも一種の才能だから見付けるのは難しい
はじめの一歩のアニメだけは唯一数日単位で同じ回を見ても飽きることなく見れるアニメだ。
なんなんだろうなこれ。
利き手じゃない方の小指で21秒間ボタンを押し続けるくらいは我慢できるだろ。それより100回押すのが難易度高い。
努力は非効率なんだろうな。生物的には。
生命誕生から40億年経過してこれだもん。
努力というものが、如何に人類によって作為的に価値を与えられたかが良く判る研究結果だった。
こう見ると支配階級にとって努力とは他人をとても操りやすい言葉だな
「お前の努力が足りないからだ」「周りはもっと努力してるぞ」「昔は皆もっと努力したもんだ」
で、努力しても、経営不振になるとクビという現実
エジソンが本当に言いたかったことは、
1%のインスピレーションがなければ、
99%の努力も無きに等しい。
インスピレーション、カモーン!
ってのを、記者が大衆向けに、
天才は1%のひらめきと99%の努力である
と、改良して名言となった。
才能のあるひとは目的がハッキリ見えてるんだね。だから努力できる。
対照的に「練習の虫」とか「頑張り屋」というのはマラソン好きと一緒の
人種で、ただ「過程が気持ちいい」だけのひとが多い。
>>32
だよね。
正しいベクトルで努力が出来るかどうかがすべてだと思う。
ゲームすらも面倒くさくなった。
もう努力する気力がわかない
ただのキチガイじゃねーか
普通の人間は自分にご褒美を与えつつ努力を続ける。
努力を続けられる人間は未来の自分の描く良いイメージを
抱きつつ、それをモチベーションとして頑張れると思う。
さらに創造的な事に関わっているという思いがドーパミンを
放出させていると思う。
努力とは熱中
自分にとってどんな意味があるかが肝
なんの興味も無くただ続けるのは無駄な努力
好きこそ物の得意なれ
あ~やんなきゃ。。
才能、才能、うるさいのう。
>32でエラそうなこと書いたけど、
なんにせよ「これだ」と決めたことを継続してやりとげることが
出来る人は立派だし、たしかに「才能」だとも思う。
俺も含めて多くの人は、途中で初心を疑ったり、別なことに気が
移ったりするんだよね。
1%の閃きの為に99%の努力を費やしてるようなもんだよね。
考えても考えても思い付かないのに、それから離れて気分転換してる時にふと閃く不思議。けれども気分転換しっぱなしじゃ何も思い付かない面倒。すごい非生産的。
絵がうまくなりたいクセに、練習するのが苦痛で、練習しないものだからいつまでたっても絵が上手くならず、そのくせ絵の話題で優越感に浸りたくて、構ってほしくて、「デッサンガーデッサンガー」。努力が苦痛だと得られるものも少なくなるね。
サボるための努力は惜しまない
なるほど、努力の正しい方向はベクトルの内積だ。
で、俺の方向はベクトルの外積だから空回りするんだ。
これを仕事量の定義としよう。
「努力」という言葉は曖昧な表現だよね。
本人からしたら努力してるつもりがなくても,それは他人から見たら努力と映る場合もあるし
その逆の場合もある。
曖昧な表現を議題にしていろいろと考えを巡らせたとしても,それは議論にはならないのではなかろうか
要は
「好きこそものの上手なれ」
と認識しさえすればよい。
とおれは思うゾ
俺の場合は単にアスペ気味なので黙々とやれるだけ。
あと感覚至上主義なので
「ああっ、このシュ!って感じが」とか
細かいどーでもいい点に悦びを見いだして続けられる。
逆に言うと何年も続けていきなり飽きたりもする。
結論
努力も才能
人はいずれ死ぬ
好きな事をやったらいいんだ。
別に宇宙は誰も咎めないし、褒めない。
つまるところ快感を与えればいくらでも努力が出来るということなのだ。
快感とは何か。それは性的興奮であり、自己陶酔なのだ。
※49
その代わり人は誰かを咎め、褒めるけどな
俺の周りで社会的に成功してる連中もみんな楽天家だなあ
なんか様々な不条理を笑い飛ばしてるようなタイプばかり
グチグチ文句垂れてる奴はダメだねオレ含めてさ
ほんま出っ歯TV
植木理恵
親が結果を褒めると、結果がなかなか出ないことに対してはやる気がない子になる。
親が頑張った事自体を褒めると、やる気がある子に育つ。
さんま
へー。
快楽を与えればどんなに無気力でも努力できるんだな
さあ努力するための新薬を作ってくれ!
K・リゾレシチンを飲むとだいぶ頭がスッキリするぞ。
脳が栄養不足でADHD気味だったり鬱気味になってしまってる人が多い。
努力もそうなんだと思うが、人には得手不得手がある。
生活習慣や積み重ね培った経験の差もある、ギャップを埋めるのは努力しか無いのは仕方の無い事だが努力以外の要素が案外大きいのも痛感する事が人生には多々ある。
w3ZAnN1X0さんよ
脳の構造は遺伝で決まるところが多いよ。多くの脳の遺伝病は脳の微細構造、レセプターなどに関する問題だろうし。
漫画がうまくなりたい。
でも絵の練習が続かない。
文芸に強くなりたい。
でもいつまでたっても読む速度がクソ遅い。
家事とかエクササイズとか
自分としてはどうでもいいことは
苦もなくこなせる。
あと空しいのが英語。
使うあてもないのに無駄に得意。
意味もなく維持トレーニングを続けちゃう。
努力しても締まりが良いと、早いもんは早い。
※59
隙間時間を見つけて、細く長くマイペースでやってみるのさ~。
趣味絵3年かけたら落書きレベルから立体的くらいなんだけど、ましになった。
現代社会じゃ努力とズル(?)賢さが成功の秘訣だな。
エジソンにしたって実際はライバルが先に開発してた物の類似品を
先に特許の申請井・認可させる事で「発明者」としての名声を抑えてた訳だし。
綺麗ごとだけじゃ成功しませんぜ…ってのを理解出来ない奴、はいつの時代も
どんなに才能があってそこに驕らず努力したとしても成功なんかしやしない。
努力に見合った対価をきちんと継続して得られてると喜びを得る為に努力って物をするけど、
努力に見合った対価がずーと得られて無いと努力しても何も得られないって事を学習するから努力出来なくなる。
プロセスが「不快」でも、
結果が「快」と認識できれば
耐えられるって?
他人からみて「痛そうで不快」に見えても、
本人が「女王様に最後に誉めてもらえる」と思えれば
プレイに耐えられるってこと?
よく貴方は「やれば」できる子って言ったりする人いるけど
「やる」ことが一番難しいよなぁ
才能・努力になるとコメント数が増える。
テコ入れには安心のテーマ。
実際幸福に生きていくならやるべきことをやるだけ、楽しめることをやるだけで考える必要のもっともないこと。
努力=苦痛に耐える・嫌なことを我慢する
という暗黙の定義は正しいのかよ
だったら努力が楽しくて楽しくて仕方がない人は
努力じゃなくて娯楽してることにならねえ?
才能ある奴は幼少期からチヤホヤされて人より自分が優れてるって分かってるから努力しない
そして落ちぶれる
凡人はコンプがあるからひたすら努力する
そして勝ち組
ようするに甘やかすなって事だな
可愛い子には旅をさせろだ
才能と金と努力、才能と金はないなら努力するしか無い。
全てやる気が無いと悪の道に堕ちるか廃人になるだけだ。
大抵の奴らは金も才能も無い、努力するしか無いだろう。
エジソン君 君の努力は、1%のパクリに99%の罵りだったじゃないかw
エジソンの名言はデマだろwww
努力できる人というのは努力のなかに僅かでも喜びを見出すことができ
一方苦痛をあまり感じない
なんてことは前々から知ってるよ
これは生まれつきのものでどうしようもない
努力できない人を悪く言うのは間違ってる
「被験者がボタンを押す間」の話だろ、これ。
課題をしていない普段から脳の違いがあるのかどうかに触れてない。
記事を読む限り、課題依存の可能性があるが。
※71
だね
「自分は全然努力出来てないな」って感じる人ほどコレが分かると思う
>>75
それがどうした?
経営側の人間や自営ならともかく、雇われ風情が「全然休まない俺努力家w」とか思ってるんなら大いなる勘違い。「勤勉な無能」の典型的な反応だわw結果を出せないただの「勤勉野郎」と「努力家」をごっちゃにするなよ。こういう勘違い野郎が他人にもサビ残強要して労働環境を悪くするんだよ。
30回すらむずかしいのだが
この実験、一言も「努力できることは才能だ」なんて言っていないんだが
ただ、単調作業を継続して行うときの脳の働きとの相関関係について分かっただけだろ
その能力が生まれつき決まっているかどうかは言及されていないんだが、どうしてこういう結論になるんだよ、アホなの?
1月1日しか休まない俺が来たよ。
努力出来るものと出来ないものがあるよな
スポーツ苦手なガリ勉だっているだろうし
スポーツに熱中するバカだっている
エジソンは発明に努力を惜しまなかったのは
もともと好きなからだろう
まあ、努力したほうがいいし、少なからず何かは得るから擁護するけどね
努力をしてる時って体に重い物をつけて、
ミリミリと世界をこじ開けてるような感じ(歳とってから特にw)。
パルモさんは才色兼備なの?!
私はジムなんてとんでもない..
最初から行ってみようとも思わない、へたれっぷり。
体が辛いのは無理だから、旅に出て歩くほうがいいなー。
それで行った先でカニを食べるのだww
努力するために最も必要なのは1つの課題を達成したときの喜びじゃないか。
シュワルツェネッガーはトレーニングの時に彼女に見ていてもらったとか。
確かにモチベーション維持には効果的だろうね。
努力に勝る才能なし
努力できる才能がある人でも全てにおいてそうとは限らないと思うんだ
そもそも万能な人間なんていないんだから
体験の積み重ねで変わるよね
成功体験も大きいと思う。
少し難しい問題が解けた時の喜びを知っている人は努力する。
その積み重ねが、努力する性格を作る。
あと本を読む癖をつける。
これは絵本を、早い年齢から読み聴かせることだな。
挑戦てきな、前向きな考えが良い・・・当たり前ばかりだが。
努力できることも才能のうち?何を今更な・・・・。
キリッ っとした顔で言う人いるけど いや、それ当たり前なんだが・・・?といい返したくなる
>>86
俺も成功の積み重ねは重要だと思うな。俺の友人に最終学歴中卒で引き篭もりゲーマーが居たけど、宅建に受かって「俺天才じゃね?」みたいな感じから始まったと思ったら・・・
行政書士→司法書士→不動産鑑定士
なんて本物になっちゃったやつも居るしな。
今じゃ口調まで変わって完全に強いマインドを持って充実してるみたいだよ。
健康なひとは仕事から二つの報酬を得る。
一つは金銭報酬、これは誰でもわかる。
もう一つは心理報酬。これは誰でもわかるものではない。
悟りをとうして、その仕事に全面的に参画するひとが得るものである。
人間の成長が容易なひとと、成長が困難なひとがいる。
しかし、成長が困難なひとの3分の1の人は、どのような環境にあっても成長を達成している
人間の成長=無眼子<かみ=らかん<ほとけ
この成長モデルは「禅」の見方である。
すべからく、じゃねえだろ
編集者はなにをしてたんだ?
管理人はなんでそんな間違った例をとりあげる?
間違った例を平気で載せる神経をしてる鈍い奴の選択眼なんて疑わしいもんだ
だからこの記事の信憑性も怪しいもんだ
小賢しいな
努力ってこんなに分析しなきゃいけないようなことか?
努力は才能だと思う!
この漫画の絵「すべからく」の使い方間違っているよ。「すべからく」は「すべて」の意味じゃなくて、後に「~しなければいけない」が続かなきゃいけない言葉だよ。典型的な誤用。校閲大丈夫か。
根性論は単純作業を楽しく多く出来る人の専売特許ですね、努力の出来る量は完全に才能です。色んな人がまるで才能ではない自分が頑張ろうとしたから出来たんだとかいってるけど、大嘘です(知らないだけ)、彼らは自己を肯定したいだけです。人間の思考パターンは環境と食ってるもの遺伝子など多様なバランスで生成されてます。吸収できる養分の量にも個体差がありますし、ガソリンの無い車は走りません。然し走ろうとしない車が走れないのも事実、しつこく走ろうとし続ければいずれ環境に適用するかも(しないかも)。祇園精舎の鐘の声 諸行無常の響きあり のように最後は皆風の前の塵と同じなので、気にせず自分のペースで頑張り続けましょう。
本当に嫌いなことは人間5分くらいしか根性で持続できません。嫌いなことをするのは かなり疲れる行為で、脳の負担もすさまじく高いです。根性とはしゅんぱつ的なもので最大でどうにかなるのは2,3日程度ってのが現実です。要するに人は多少嫌な感情を抱いてることでもはじめれば脳内麻薬が出る奴を 努力の才能だと私は思います。そして努力を続けれることに関してはその努力を行う対象に対して本人はそこまでマイナスな感情は抱いてることはありえません。
経験的に知ってた
脳に違いがないのにある人は努力を重ねることができ、ある人は何度挑戦してもことごとく努力が続かない
なんてことがあるとすればそれこそオカルト
88. richman4600
その成長できない人、自らを救う能力すら備わっていない人こそ本当に救われるべきなんだけど
宗教はそういう人を冷たく切り捨てる
だから神も仏も信じる価値はない
一応漫画だからだけどお前らまじに真にに受けるなよ。
ビジネスでは才能ある奴はすべからく努力せずして見合う結果をだせるからな。
だから高額報酬の奴は必ず絶対に才能をもっとけもっとけって
言ってるんだよ。才能ある奴はすべからず努力を知らない。
しかし努力で結果が出たのは才能の欠片を持っていたからだ。これが正解だよ。
プロとプロとの間では努力が必要だよ。才能あるやつは別に
努力をする価値は無いからな
僅か0.01程度の差くらいにしかならない
だから努力の屑になるなって事だよ。
ビジネスの社会では出来てさえしまえばそれでいいって背景もあるからな
別に努力を要求するような姑息な真似はしないし必要なし
才無き高額報酬が事情を問わずどんどん引退してるのはそういう事だよ
高額報酬は人よりずば抜けた才能を必ず必須とされてるからな
つまり出る杭がたくさん集まってる状態だよ
最低限妬まれる要素すらないゴミは何処でもかいこが当たり前だからな
子供でも妬むのは出来るけど大人が妬み出したらもう人生おしまいだよ
生ゴミ確定だからな
努力なんて馬鹿でもできるだろ。
努力を前提とした場合いかにできるかということが重要。
この人は亀と兎に最初からハンデをつけているようなもの。
亀と兎が両方ともがんばったということを前提とした場合、前者が劣る。
つまり最終的にはいかに素質があったかということになる。
努力が才能ではない、努力「出来る」事が才能なのだ。
努力は大事だが、休むことも大事だ。仕事もトレーニングも。
執念が欲しいな。ジャック・ハンマーのような・・・
自分が努力できる脳かできない脳かなんてわからないから
やるっきゃないんだよ
努力できるのはそのことを好きだからだよ。
好きと努力は違うと思うよ、だって好きなゲームやってても努力しようとすると一気につまらなくなるもん
好きというのは飽く迄趣味としてであってそれを努力というなの勉強に持ってくると楽しくなくなるもん
エジソンの解釈は逆なんだよな
1%の才能がなければ99%の努力も意味がないってこと
努力で変えられることと変えられないことを見分ける力がひつようだね
俺は努力という言葉が大嫌いだw
努力出来る人は、努力する事自体が大好きで、努力する事自体に満足出来る人なんだろうな。
わたしゃ、努力なんて大嫌い。
「日本球界の至宝」・イチローや「日本競馬の生きる伝説」・武豊騎手は正にこのクチでしょうね
先天的な才能に恵まれた人が、凡人の倍以上努力したら…
そら、「到底誰も破れそうにない」大記録を次々と打ち立てる訳ですよ
努力出来る出来ないが先天的に確定するなら、働きアリの法則が説明できない。
努力=才能なら、努力が後天的に会得できる以上才能も後天的に会得できることになる。
要は、やるかやりたくないかじゃないの
やりたくないものに努力なんて無駄だからやる意味ないし、やりたいならやる以外の選択しないんだから努力なんて勝手にやってるだろ(それを努力と呼ぶかはさておき)
それ以外に、状況的にやるしかない人間も勝手に努力する
「やらなきゃいけないんだけど…」ってのは本心はやりたくないんだから無駄
「やらなきゃいけないからやる」ってのはやる方
「出来ないかもしれないし…」は「だからやりたくない」が続く
「出来ないかもしれないけど」は「でもやる」が続く
「結果は出ないかもしれない」の後に続くのは?から?けど?
単純にそれだけよ。
一歩はメンターと出会ってるからこの先も大丈夫って思っちゃう
優しい人柄の持ち主の人って危機意識を持たない人もいるから
群れにおける立ち位置が危ういのよね
成功経験を得るべく困難を克服していけるかという意味での努力は必要かもとは思う