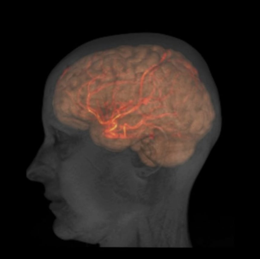
この画像を大きなサイズで見る「肉体や脳が機械と交換可能であるならば 人間を人間たらしめているのは”人格”と”記憶”という情報だけです」これは漫画「銃夢」に出てくるディスティ・ノヴァ教授 の言葉である。
実際に人間の意識をコンピューターにアップロードする「脳全体のエミュレーション」はここ数年で大きな脚光を浴びている分野だ。
そんな中、アメリカの「Nectome(ネクトム)」社は、将来的にコンピューターへ意識のアップロードが可能となった時、デジタルの存在として永遠の生命を手に入れる為、脳をまるごと保存するサービスを開始した。
ただしこの保管方法を実施するには”新鮮な脳”が必要となってくる。脳を防腐処理して長期保存させるために、まだ生きている依頼主に保存液を流し込み、冷凍保存させる必要がある。もちろん、その人は100%死に至る。
にもかかわらず、既に25名がそのリストに名を連ねているという。
1万ドルで脳を保存。ただし保存するには死ぬ必要あり
Nectomeは既にアメリカ国立衛生研究所から1億円、シリコンバレーの大富豪、サム・アルトマン(32歳)が創立したY Combinator社から1200万円の資金援助を受けている。
サム・アルトマン自身も、Nectomeの待機リストにサインアップし、1万ドル(約100万円)を支払った。いつの日か、脳をコンピューターにアップロードし、永遠の命を手にするために。
ただしその手法を用いるには新鮮な脳が必要で、確実に死に至るという。
それでもアルトマン氏は、『MITテクノロジーレビュー』で、将来的に意識がデジタル化されることに確信があると語っている。
この画像を大きなサイズで見る新鮮な脳に血管から保存液を流し入れて長期冷凍保存
同社が提案しているのは、脳の防腐処理を施した上での保存だ。
Nectomeの用いる方法は、まず脳の微細な構造を安定化させる為、グルタルアルデヒドという薬品と不凍液を血管を通して新鮮な脳に流し込む。
さらに「アルデヒド安定化冷凍保存」(ASC)という技術で、数百年あるいは数千年は保存することができるという。
そしていつの日か、そこに残された脳をスキャンして、コンピューターシミュレーションとして再生させるのだ。
この画像を大きなサイズで見る医療的な自殺幇助
しかし、これを行うには”新鮮な脳”が必要である。保存液はまだ生きている依頼主に流し込まねばならない。もちろん、その人は死ぬ。
「使用者の体験は、医師による幇助自殺と同じです」とNectomeの共同設立者ロバート・マッキンタイヤー氏は話す。
現時点で、Nectomeはまだ保管サービスを提供していない。また記憶が残るという保証も、死んだ組織から回収できるという保証もない。
それでもNectomeの待機リストにはアルトマンの他に24人が名を連ねており、施術が合法化されるのを待っている。
だが、案外早く実行可能になるかもしれない。アメリカでは5つの州で医療的な自殺幇助が合法であり、Nectomeはすでにアメリカ国立衛生研究所からの研究助成金を獲得しているのだ。
この画像を大きなサイズで見る終末期の患者にとっては最後の砦
神経科学の権威であるMITのエドワード・ボイデン氏と協力して行われた豚の脳の保管実験では、電子顕微鏡を使えば内部のシナプスをすべてきちんと確認できるほど保存状態は良好だ。この成果に対して800万円相当の賞金が贈られている。
Nectomeによると、顧客は生きたまま機械に接続され、保存液を注入されるのだという。同社は特に終末期の患者に魅力的だろうと考えている。
なおアメリカには他にも死後に遺体を冷凍し、将来の医術の進歩に備えて保存してくれる企業がある。
・死を克服することはできるのか?人体冷凍保存研究所をたずねて(米ミシガン州) : カラパイア
References:technologyreview / digitaltrendsなど/ written by hiroching / edited by parumo
先日亡くなったスティーブン・ホーキング博士も、「理論的には脳のコンピューターへのコピーは可能であり、死んだ後の命の形をもたらしてくれます」と発言していた。もしかしたらホーキング博士の脳は保存されたのだろうか?
だとすると数十年、あるいは数百年後、再びホーキング博士に会えるのかもしれない。











俺は知ってるぞ!!!
Mac OSやiOSはジョブスをこれにしたやつが入ってるんだろ!!!
研究者が、自分の意識を猿に移植して、猿が「なんでオレ猿なんだ!ここから出せ!」ってわめいている姿を、その研究者自身がオリの外から「成功したようだな」って冷たく見つめているショートショート有ったよな。
アルコーとかわらんやん
神や輪廻転生を信じない人向けの希望を抱いたまま実行できる安楽死ってとこかな
結局オリジナルは逝ってしまうわけですね…
実用化して1,000年経ったとして
眼の前に1,000年前の人格がいるなんて最高だね
死んだら未来の医療で復活出来る可能性に賭けて体を冷凍保存するとかいう詐欺があったな
あれは結局金だけ盗って管理はすぐ放棄されてたのに似たような胡散臭い話によく乗っかろうと思うものだ
年間の冷凍維持費と管理費だけで100万円以上かかるだろう
>1万ドルで脳を保存。ただし保存するには死ぬ必要あり
のうさんきゅう
ゴーストダビングは違法定期
脳の細胞構造自体は残るだろうけど、「脳の持つ情報」の物理的実体がシナプスの細かなイオン電位差とか科学的なものだったら意味なーいな感じだよね
RAMメモリの回路だけ保存しても意味なくて、情報そのもの物理的実体は回路の中の電位差みたいなのと一緒で。
保存液注入した時点で情報ぶっ飛んじゃうよ。
ACVDで見た
意識は連続してないし別物だよね。
※13
その通り
エジプトのミイラの作り方思い出した。
2ちゃんねるには瞬時の即レスで煽ってくる奴がいたが、いまにして思うとコンピュータにコピーされた人格っぽいな。
最近、死んだあともしばらく脳は生きてるって話だから割といけるんじゃね?
脳を冷凍保存しても、何年後に意識のデータ化が完成するのやら?
量子コンピューターが普及する頃になれば、実現するのかね?
1万年後にも『やっぱりまだ無理でした』なんて言っていたりして
並列接続した脳の19番目が暴走しそう
未来人「こんな保存法でスキャンできる訳ないじゃん(笑)」
というパターン定期
本人氏んでるしそこまでして目立ちたいのだろうか、例えば古代ローマ人の電脳再現とか出来たら見る側としては興味深いが
200年くらい経てばもっといい方法が実現されてるでしょ、待とう
小学校のときドノヴァンの脳髄は読んでいるから うん 絶対信用しない
攻殻機動隊で云うところのゴースト
未来に出来る出来る詐欺やん
20年前くらいに冷凍保存したやつどうなったか知らんの?
肉体の外に形成された人格は果たして本人なんだろうかね?
本人の記憶さえ持ってたら本人?
どうなんやろ、体の調子や脳内に分泌されてる各種化学物質の種類や量だったりが、気分や思考に影響を与えてると思うんだけど、そんなのまでエミュレートできんのかな。
うーん。やってることは現代版ミイラづくりみたいな感じを受ける。
昔のエジプトでは鼻水作るだけの器官だと思われてた脳みそ掻き出して肉体をいつか復活するための器として保存してたけどご覧の通りだし。
今度は脳を保存してみたけど肝心要の何かが足りなくて駄目でした ってオチになるのを期待してる。
何が足りなさそうかって? 魂だよ
※27
鼻水の件wikipedia情報だと思うけど、ノートでは「調べたけどそんなデータ見つからない」とのこと。
「そして世界が残酷なのは…当たり前の事です」
ディスティ・ノヴァは狂科学者だけどカッコイイおっさんの代名詞
でもコピーされた脳の情報(人格)がコンピューター上でその人格が生前と変わらない様に振舞う事が出来たとしても、その人格は電子データなんだよね?
確かに周囲にとっては生前と変わらないUP主と直接会話が出来るのだから色々有意義な事だろうけど、当の本人がその為に死んでしまってるのなら何だか違う気がする…
生を持って産まれたオリジナルの意識を連続して保った「移動」なら、本当の意味での死の克服なんだろうけどソレはそれでどこか怖ろしい気がする
毎回思うんだが、これと電脳化は違う話ですよパルモさん。
電脳化ってのは生きてる人間の脳をナノマシン等でネットに接続できるようにするって話で。
これは脳全体、人間の自我や意識をデジタル化出来る時代にスキャンするために保存しておくって話で。
※29
まぁ、クゼは今わの際にゴーストをネット上にアップロードしたのでして。
意識の連続性は素子にも疑問視されてたわけですけど。
さて、この実験が成功したとして、再生を果たした人間(?)が真っ先に発する言葉が「殺してくれ!」だったら中々にホラーですなぁw
アンパンマンの古い顔とかどこでもドアの都市伝説思い出した
物質としての脳細胞と電圧の問題
意識のアップロード云々は原理上不可能(情報は質量を構成する粒子と座標に依拠する)
脳神経の反応パターンを量子コンピューターで学習させて、擬似的な肉体(仮想世界のアバター及びロボット)を遠隔操作することは可能
脳細胞を不凍液等で固定化するのは現行技術では不可能
情報と質量の関係は高次元物理が発表されればわかる
そして、コンピュータに移植した人格データはベルトやタブレットにコピーするわけか
エイトマンは殺害された東刑事の脳を谷方正博士により電子頭脳に移されたスーパーロボットだと言う事が意外に知られていない気がする。
1963年の平井和正原作・桑田次郎の漫画・TVアニメの話だけど時代を考えると先進的すぎる気がする。(良い子が見ても意味わからないし…)
(痛み無しで脳を電脳化出来るのなら死ぬ間際ならお願いしたい気がする…イケメンで…)
第一号はアルトマンやろう?
般若心経のほうがよっぽど科学的に思える。
この手の話で毎回思うけど、仮に完璧な状態で脳が保存されてて、仮に蘇生できる方法が見つかったとして数十年後のお医者さんが蘇生してくれる保証はあるか?失敗しようと成功しようと生命の冒涜だとかで批判されるし、生き返った人間はほぼ確実に文無しでお金にならない。
俺が医者だったら絶対やらない。
まさに「水槽の脳」じゃん
ここまでして生きたいって人も居るんだなあ
トチローを思い出したわ。
たとえコンピューターへ意識をアップロードしても、他者や環境とコミュニケーションが取れなければ、真っ暗闇に永遠に閉じ込められる(五億年ボタンの上位交換版)という結果にしかならんと思うけど。
よしんば、外界と接触するためのアバターが開発されたとしても、他には何も見えない聞こえない感じない状態で、オープンフィールドのゲームだけを延々とやりづけてるだけみたいになりそう。
リアルトランセンデンス
これ不思議だよな
商売をするときは多分届出が必要なはずだけど
届け出たときに、この商売の内容で「殺人」が適用されないのか?
よくこんな商売を展開することが法的に許可されたよな
有史以来の大いなる錯誤だな
武器と呼べる程進化した、我々の自我は命を守るためにこそあると言うのに
武器が武器を守るのか
大笑いだ
そこまでして保存するほどの記憶もないからいいや。生きてるうちに1万ドル使いたい。
ここまでして生き存える価値のある人なんて、世界に存在するんだろうか
たとえば100年後に完全に蘇生できて意識を取り戻したとしても、
そこには自分を必要としてくれる人なんて誰もいないのに
(ニュートンやアインシュタイン並みに有益な人物だったとしても)
神経伝達物質が電気信号に変わるってだけなら
体全体は無理でも、脳だけデジタル化する事は出来ないとは言い切れん。
大事なのはその物質をどう変化させるかだよなぁ
取り返しのつかない状態になったら二度と戻ってこれないわけだし。
執刀医に囲まれて手術を受けてる最中に命だけすでにどっか行っちゃってる、なんてシチュエーションは考えただけでおぞましすぎる…。
自分と同じ記憶と性格を持ったデータが有ってもそれは果たして自分なのかなぁ、
意識をアップロードしても、自分と全く同じ別人ができるだけで、自分はどのみち死ぬと思うんだけど…
“テセウスの船”のように段階的に脳や肉体の構造をナノマシン等に置き換えていけば、最終的に永遠に近い寿命を得られるかもしれない。
しかし、肉体から人工物へと完全に置き換わったそれを生命と呼べるのであろうか。
仮に意識が電脳化されたとして、それを“永遠の命”と捉えるか、はたまた命を超越した何かと捉えるか。
※48
生命ってなんだ時空勾配のことか?
これ系の商売にはでかい穴があるよね。
本当なら体を作る方の研究なり事業などが同時進行で進めるなら解るが
全然連携してすらいないのにどうするんだと。一度摘出した脳を体に入れなおす
技術すら確率しそうにないのに、これは危険すぎる。
コピーであって本人ではない感じ?
脳はその方法で残るとしても、体は残ってないんでしょ?
たとえ意識が永続的にあったとしても
脳だけの存在なんていやだ!
たった25人しか希望者がいないというのも意外だ
余命が長くない老人や不治の病の患者にもっと希望者がたくさんいそうだが、知名度がないからなのか?
オルタードカーボン
これのおかげで死ぬのが怖くなくなるんなら意味はある
たとえ叶わなくても「いつか未来の世界が見れるかも」
なんて夢と希望を持って死ねるならそれもいいなって思うよ
脳だけで本当に人格が再現できるのだろうか?
※57
もう面倒臭いからばらすけどお前らの言う現実もシミュレーターの一種なんだよ
怖いな第三者判断で自分が自分であると認識させるという話は、ホントに自分が自分として六感を使って動くなんて考えてやしないって事だからな。
※59
六感? 全て周波数です
それなら前世の記憶とか幽霊の憑依だとか、そっちを大真面目に研究した方が求めてるものに近づくんじゃない?
その前に意識ってなんだろという疑問。
※61
知人の宇宙人に聞いた話だと紐理論で予言された閉じた余剰次元というのは物質そのものを指すらしいよ!
貴方自身ではないがあなたに拠る誰かが将来に芽吹く可能性~みたいな言い方しているところもあるように、子孫を遺すとかミームを遺すような感覚になるのかな。私を根源とする存在を後の世に遺したいという望みが有機体を離れた情報の分野で叶うかも?というロマンに100万円。募金やクラウドファンディングみたいなものかしら。そう悪くもないのかな。電脳空間に人格散骨(放流)とかモディのような人格モジュールに固定して外宇宙へ~とかそんなサービスも生まれたりして。
実際の契約がどうなっているかしらんですが、もしや延命人工心肺ごと自然死法や尊厳死法がある国・州に移動できる財力ともなっていないと駄目かしら。実質献体となる覚悟も必要かな。公式サイトのTED見るとこういった分野(この会社が根拠としているような技術の研究をしているところは日本にもあるようなので)への協力もありなのかなーなど漠然と考えた。
茅場晶彦かな?
デジタルホーキング博士で女神転生連想した人 ノシ
理論的には何百年も
理論的には何百年も
by 筒井康隆
科学は唯物論なので、そもそも「最初から倫理と関係ない」場所にある。こういうことが違法だの倫理的問題だの冗談としか思えない。科学は事実しか相手にしない。
結局、研究者に対する脳の献体だよね。
それも命を捨ててまでするという。
何もかも成功したとしても、維持管理は他人任せな要介護者になっちゃう感じか
人間は人体全体で人間なんであって脳だけなんてOh No !
しかし、ネクトームって、まさかギリシャ神話の神々が飲む生命の酒ネクターと永遠という意味のオームの掛け合わせか?
明日にも死にそうな終末期の人相手なら希望なんだろうなあ、確かに
つまり主観としては「絶対死ぬ」から「いつか治る」に近いものになるというならちょっとは気持ちが安らかかもしれない
エジプト人がミイラ作ってやろうとしてた事が
数千年かけてここまで来ました、って感じでしかないけど
それで救われると信じる、他に希望のない人がいるなら
自己責任でやる分にはまあいいんじゃね
ミイラから若干の考古学情報は拾えるぐらいのレベルで
数千年先の人々も若干の情報を拾うかもしれないし
まるっきりの無駄にはならんだろ
そうだね、Amadeusだね
要は偉人や科学者が死亡した際に脳をスキャンして保存する技術を確立したいから
金払って実験台になってくださいって事だよな
ノヴァ教授は人格と記憶がその人たらしめるものだと表現していたけど、人格と記憶も結構ゆらぎまくるものだよね。その時の状況や話す言葉、関わっている人や見たり聞いたり読んだりしたものに影響されて。「自分が自分だと思っているもの」って本当は何を根拠に湧いてくるものなんだろう…と考えると不思議でたまらなくなる。
※76
上で説明しただろう。
質量=エネルギーでありエネルギー=情報量に等しい。
陽子とは実をいうと[機密指定]なのだ。
人間の体や脳の全てを理解したわけでもないのにようやるわ臓器とか移植した人も不思議な体験してる人いるのに
出来たとしても脳だけって全く違う体の性格や精神はどうなるんだろうな
交霊術みたいなのと組み合わせるのもまたロマンがあると思うのだよ?
死体の冷凍保存する会社って何件か倒産してなかったっけ…維持費がかかりすぎて採算がとれずあぼんしてたから、これも同じ道を辿りそう
ブレイクスルーまで100年以内くらいだったら時期尚早って
こともないかもしれないけど、この手の事業はそういう時期
だからこそ発生し始めてるんだろうな
火星移住とかもそうだけど資本主義の闇ってかんじ
死が怖いのか、生きててどうしてもやりたいことがあるのか…
所詮エミュレーションしか出来ないよ
あるで攻殻のゴーストスキャンやな
くっくっくっくっ
良い実験素材が手に入った・・・
結局冷凍保存やないかい
取り込んだ情報に学習機能を付与して変化(成長?)を演出したら、傍目には生き続けることになるのかなぁ。
面白いけれども、自分がやりたいとは思えない。やってみた人と会話はしてみたいかも。
「意志と存在、後はただのデータ」
※87
お前らじゃん(笑
脳だけ生きて何が楽しんだか
攻殻とかもそうだけど、脳だけ保存すればおkな風潮あるけど、
心臓とか腸にも脳と同じ要素があるっていうけど切り落としてええんか?
※90
攻殻に関しちゃ生身の内臓より性能のよい体内プラントがあるんで
実用に支障はないんじゃないかな
※90
原作では外部からの刺激も高度にシミュレートされ、信号化されて脳を活性化させているという設定だった気が。
そうしないと脳の自発出力が極端に低下するんだそうな。メンドクサイことで。
何か勘違いしているようだがこれは終末医療における最後の救済策なので健常者は受けられない。
左脳の前頭葉がごっそりなくなっても右脳が機能を代替する。
つまり脳細胞には遺失した機能を再学習する機能がついているので厳密に言えば脳も要らない。
グレッグイーガンの小説に位相夢ってのがあってだな…
同氏の小説「ディアスポラ」の仮想空間とかロボットが現実にあったら素晴らしい物だと思うし、実現も遠い未来に出来るかもしれない。けどそれらが現実になっても、脳のコピーで意識がどう移ろうのか解明されない限りこういうのは進んでやりたくないな。
コピーはできるだろうけど、「ムーブ」ができるのはいつの日になるんだろう。
どうあがいても、今この瞬間生きている自分としては死ぬ感じ。
脳をスキャンして構造を保存してシミュレートする方がまだ実現性高いんじゃないの
キリストの復活を信じてる人達らしいよな
俺は無理だな
コンピュータにアップロードという事は恐らく頭の中でこっそり妄想してたポエムの存在がバレる
ドラえもんの哲学のやつで似たような話があったな
オリジナルの方の意識は無のままだから意味ない
脳を細胞レベルでちょっとずつ健康な細胞に移植していけばいい
体は全身義体で
手術の際には意識を連続させる必要がある
意識を失うと意識を取り戻した際に自我がオリジナルであるかを判断する方法がなくなる
団長…茅場晶彦はどうなったの?
死んでいたよ…
脳に大容量スキャンを…
つまりはこういうこと?
勘違いしている奴が多そうだが
例え電脳化で復活したように見えても「それ」は単なるコピーであってオリジナルではない
自分の分身に未来を託すようなもの
本人はフツーに死ぬ。何で分からないのかなぁ…
永遠の命を手に入れたとしても果たして幸せになれるのかな?
もしかしたらコンピュータの誤作動や設定・理論段階のミスで
永遠の苦しみを味わうことになるかもしれないよ。
それも群発頭痛を上回るほどの地獄の苦しみかもしれない。
そして科学者が分かるのは飽くまでも脳から得られるデータのみ。
生の声を聴けない以上、「痛い」と伝えることができる保証もない。
さらに…もっと恐ろしいことに、その苦しみが終わる保証もない。
正直エジプト人が永遠の命を求めてミイラになったのと同じ行動としか思えないんだけど
アメリカの公的機関が援助してるならいつだかあった冷凍保存詐欺とは違うのかな
それよか意識をHDDやSSDにムーヴして暫く眠りたい。
草薙素子レベルの義体が出来たらそれにムーヴしてガイノイドが欲しい。
ゼ ノ ブ レ イ ド ク ロ ス
接近戦おばさんは要らなかった。いいね?
IT界の常識だけど「万一の備え」は、大抵それが必要になったときに、何かがまずくて成功しないのさ
脳をなんとかしようとして、「あ、これ、ここがだめだったわ」と気づいたとき、いったい「ここがだめだったと分かった脳」がいくつ並んでることやら
目を覚ますまで間意識が無いなら実質未来にタイムスリップ出来る
現時点では、コメント75の意見に同意。お金払ってくれて、実験台になってくれる人募集中っぽい…。
正直最近データ=意識とか思ってる輩が多すぎて困る。
データを移しただけではそれは明確に別人であり不死とは程遠い。ハードと信号は不可分。
つまるところ科学を悪用した宗教に陥ると言うのがここのコメント欄を見てもそれが良く分かる。死を恐れるあまりカルトの思考に染まるのはオタクの正義感とは真逆のセンスではないだろうか?
脳構造及びにニューロン結合の体系化をそのまま模倣したとしても意識そのものは再現できないよなぁ…
単なるコピーというかコピー元の人格をそのまま引き継ぐという訳ではない、ある意味クローン的な感じなんだろうか。
あと関係ないけど罵倒の語彙が貧相でレッテル貼りでとやかく言ってる人を見かけると特定の側の肩を持つ訳でもないけどムっとしちゃうな、方向性が違うだけで短慮だよ双方共に。