この画像を大きなサイズで見る酸素なしで生きる細菌「嫌気性アンモニウム酸化(Anammox)細菌」は、尿に含まれるアンモニアをロケット燃料の「ヒドラジン」に変える特性を持っているが、その仕組みは解明されていなかった。今回その変換メカニズムを分子レベルで解明したと、オランダの研究チームが英科学誌ネイチャー(Nature)に発表した。
「Anammox細菌」は1990年代に初めて発見され、大きな話題を呼んだが、そのメカニズムはこれまで解明されていなかった。
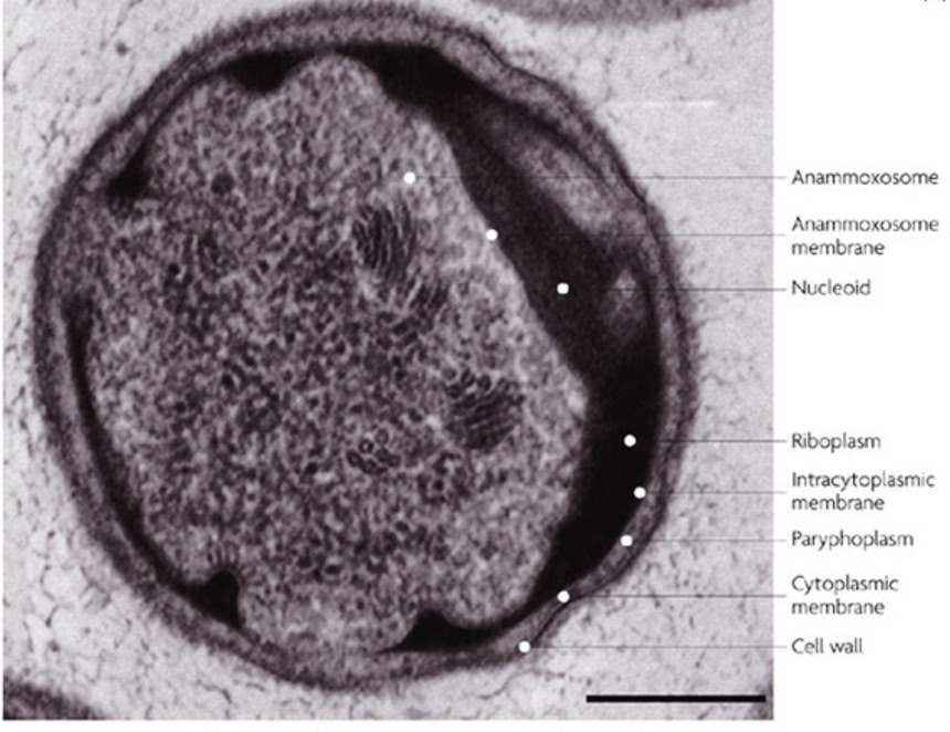
Anammox細菌
この画像を大きなサイズで見るラドバウド・ナイメーヘン大学、水・湿地研究所の微生物学専門家、マイク・ジェッテン氏らのチームはこのほど、「ヒドラジンを生成する複合タンパク質を突き止めることに成功した」という。
ジェッテン氏の研究には当初、米航空宇宙局(NASA)が関心を示していたが、製造されるヒドラジン量が少なく「とても火星までは行かれない」ことが分かってから手を引いてしまった。しかしジェッテン氏は「現在、この複合タンパク質の結晶構造を正確に解明しようとしているところだ。理解が進めば、生成過程を改善することもできるかもしれない」と語っている。
Anammoxは、アンモニア分解のエネルギー効率がとても良いため、現在は浄水技術として商業利用されている。また、下水の汚泥処理に活用すれば、空気をポンプで送り込むことなく汚泥処理が可能となるうえ副産物としてメタンを得ることもでき、バイオ燃料への適用の可能性も秘めている。
関連記事:

データの保存に大腸菌。大量に長期間データを保存する新たなメモリとして微生物が活躍する時代が!?(香港研究)


プラスチックを3ヶ月で分解するバクテリアをカナダの高校生男子が発見

















1
気兼ね無く美人の尿を・・
「ロケット作るのでちょっとオシッコ下さい」
うんkでメタン作ればいいじゃない
ヒドラジンとして消費した窒素と水素の補充は・・・
※5
宇宙食だろうね。
ならオーランチオキトリウムは要らなくなる?
尿素→ヒドラジン+一酸化炭素
(NH2)CO→N2H2+CO
生物は複雑な酵素を使うから
これで生じる一酸化炭素を酸化して
二酸化炭素にしたり他の有機化合物の
変換できるはず。
どんだけ尿を出せば目的地に到着するんだ。。
「お前たち、尿の出が少ないぞ! 地球に帰る気があるのか!!」
「船長、もう出ません!!」
にょにょーっ!
ンコが嫉妬 くそー