この画像を大きなサイズで見る実際に治療効果のない偽薬や治療を受けたにもかかわらず、なぜか効いてしまう。これはプラセボ効果と呼ばれるものだ。なぜ偽の薬で治ってしまうのか?その詳しいメカニズムは長い間謎に包まれていた。
だが新たな研究によって、そのメカニズムの一部が解明されたかもしれない。
ノースカロライナ大学チャペルヒル校の研究チームは、マウスを騙して痛みが和らいだと感じさせる実験を考案した。この時にプラセボ効果による痛みの緩和に関連する脳領域をピンポイントで発見した。
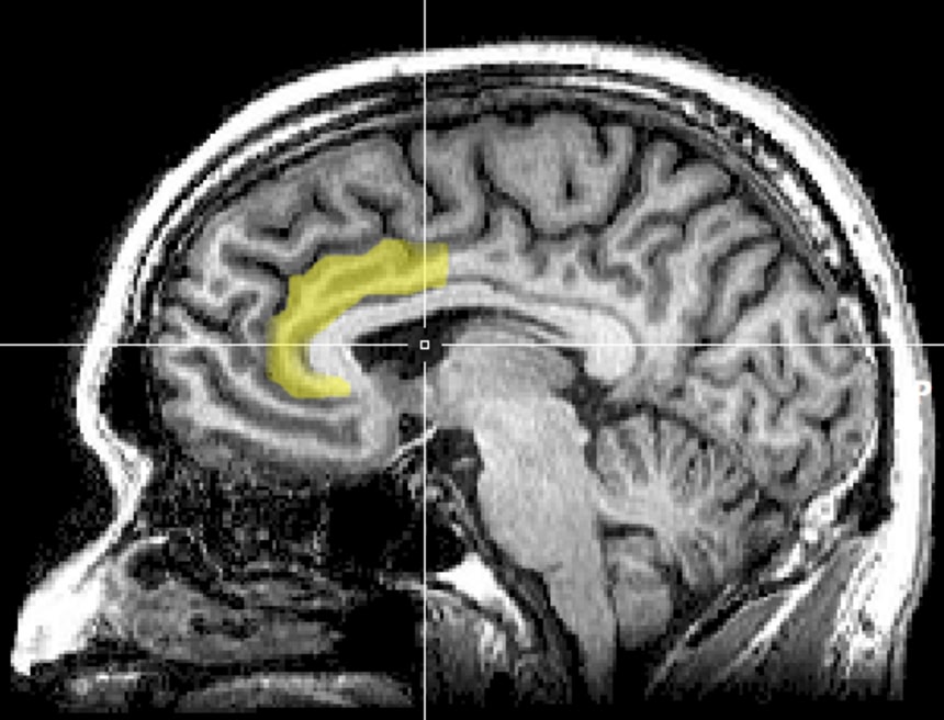
それは痛みに関連する「前帯状皮質(ぜんたいじょうひしつ)」と、これまで痛みには関係がないとされた「橋核(きょうかく)」との間にある場所にあった。
プラセボ効果、なぜ偽の薬なのに効果があるのか?
「プラセボ効果」とは、特に効果のある薬や治療を施しているわけでもないのに、よく効くと言って偽薬の処方や偽の治療を行うと、本当に効いてしまう現象のことだ。
たとえば、頭が痛いと訴える人に、医師がよく効く頭痛薬だよと言って偽薬を処方すると、本当に頭痛が治ってしまう。
心理的な要因が身体の感覚に影響を与えているとも言われており、これまでの研究では、プラセボ効果が脳の「前帯状皮質(ぜんたいじょうひしつ)」に関連していることまでは解明されていた。
ここは痛みの処理に関連する領域で、プラセボ効果が発現するとき活発になるのだ。
だがこれだけでは十分な説明に至らず、この現象の根底にある生物学的メカニズムは、いまだ謎に包まれていた。
この画像を大きなサイズで見るマウス実験で、プラセボに関連する脳の領域を特定
そこで米ノースカロライナ大学チャペルヒル校の研究チームは、マウスをつながり合う2つの部屋に入れて、痛みが和らいだと騙してしまう巧妙な実験を考案した。
1週間の実験期間の最初のうちは、どちらの部屋の床も温かく快適だった。だが数日後、片方の部屋の床は痛みを感じるほど熱くなる。
だからマウスはもう片方の部屋に避難し、2番目の部屋なら痛みから逃れられると学習する。
だが最後の日には、どちらの部屋の床も痛いほど加熱された。1番目の部屋にいたマウスは痛みから逃れるために、安全だと思い込んでいる2番目の部屋へ移動する。
するとマウスはまんまと騙されて痛みが和らいだと誤解する、すなわちプラセボ効果が発現するのだ。
そう言えるのも、2番目の部屋に入ると、その床は1番目の部屋と同じくらい熱いというのに、飛び跳ねたり、足を舐めるといった痛みを感じたときの行動が少なくなるからだ。
この画像を大きなサイズで見るこれまで痛みには関係がないとされていた領域がプラセボ効果と関係
研究チームはこの時のマウスの脳内を観察してみた。注目されたのは、「前帯状皮質の吻側部(ぜんたいじょうひしつ・ふんそくぶ)」と「橋核(きょうかく)」との間にある領域だ。
橋核は、運動スキルの学習に関連しているところなのだが、2番目の部屋に駆け込んだマウスはここが活発になったのだ。
このことから、前帯状皮質吻側部と橋核をつないでいる領域が、プラセボ効果に重要な役割を果たしていることが推測できる。
この画像を大きなサイズで見る橋核にはオピオイド受容体が豊富に存在することにも注目されており、この領域が痛覚耐性に関与している可能性を示す証拠となるという。
このことは、この領域を人工的に活性化させた別の実験でも裏付けられたという。
ただし、痛みはそう単純な現象ではないため、私たち人間のプラセボ効果が、マウスよりもっと複雑なものである可能性もあるとのこと。
実際には、もっとたくさんの脳領域が関連しているかもしれない。
それでも今回の新事実をヒントにすれば、新しい痛みの緩和治療にもつながるだろうと期待されている。
この研究は『Nature』(2024年7月24日付)に掲載された。
References:Scientists Discover Brain Circuits for Placebo Effect Pain Relief | Newsroom / Neuroscientists discover brain circuitry of placebo effect for pain relief / written by hiroching / edited by / parumo
















無理矢理笑顔作るだけでも苦痛軽減されるし、自分で自分の両肩抱くだけでもリラックスするし、脳の気分だけなら自力でも意外と勘違いさせられるんよね
苦痛や不安の原因には全く効果が無いんだけど
面白いっす。オピオイド受容体が多いってのがヒントなんでしょうかね。
脳内麻薬を作っちゃったりしてないかなぁ。今後の研究に期待してます
痛いの痛いの飛んでけ~
痛いの痛いの飛んでK
うーん、色々利用価値のありそうな研究だけど、「痛みを感じない兵士」みたいな嫌な方向に使われないと良いなぁ・・・
マウスの時点でえげつない事になってるね
マウスが可哀そうだと思っちゃうわけよ・・・
もういいじゃん、医学の進歩はこんなもんで
どうせどこまで進歩した所で、金が絡んでくる限り限界があるわけで
>>10
いまだに難病で苦しんでいる人が世界中にいるのに
それを目のあたりにしてたら「医学の進歩はこんなもんで」なんて
到底思えないよ
>>10
こういう人って、「人間に同意とって人体実験やれよ」とは言わないのが不思議
ついでに、こういう人ほど自分が事故で四肢を失ったり難病にかかったりしたら、これまでの言葉を放り捨てて「治療法はよ」とか言い出すんだよなーって微妙な気持ちになる(自分が目で見た実例が一件あるのが悲しい)
マウスたちごめんなー
>>13
マウスの遺伝子「ええんやで~。その代わり産業動物として子孫繁栄よろしくな~。」