この画像を大きなサイズで見る世の男性に、男性という宿命を背負わせたのはY染色体だ。いわば男らしさのシンボルであるY染色体であるが、じつのところ強くもたくましくもないのだということが明らかになりつつあるそうだ。
Y染色体は急速に退化を続けている。仮に退化がこのまま続いたとしたら、Y染色体は460万年もすれば完全に失くなってしまうという。
まだ十分な長さが残されていると思うかもしれないが、地球に生命が誕生して35億年が経過していることを思えば、なんとも儚い。
Y染色体の根本的な欠陥
Y染色体は「SRY」という哺乳類の性別をオス(XY)に決定する遺伝子を持っている。だが、それ以外特に目立った遺伝子はなく、唯一Y染色体だけが、染色体の中で生存には関係していない。女性がXXでも生きられるのはこうしたわけだ。
さらにY染色体は急速に退化してきた。このために女性には完璧に正常なX染色体が2つ残されている一方で、男性にはX染色体としなびたY染色体が残された。
Y染色体は昔からこうだったわけではない。最初の哺乳類が登場した1億6600万年前にはまったく事情が違った。初期のプロトY染色体はもともとX染色体と同じサイズで、同じ遺伝子を持っていたのだ。
だが、Y染色体には根本的な欠陥があった。他の染色体が各細胞に2つのコピーを持っているのに対して、Y染色体には1つのコピーしかなく、それを父から息子へと受け渡すシステムだったことだ。
このためにY染色体には遺伝的組換え、つまりは有害な遺伝子の突然変異を取り除いてくれる”シャッフル”が各世代で起こらない。
このためにY染色体は退化を続け、やがてはゲノムから消えさるという宿命を背負うことになった。
この画像を大きなサイズで見る運命に抗うメカニズム
しかし最近の研究によれば、Y染色体には、この運命に抗う素晴らしいメカニズムが備わっているようだ。
例えば、『ProS Genetics』(2017年8月28日付)に掲載された研究では、男性62名からY染色体を採取し、それを部分的にDNAシーケンシングにかけた。すると、大規模な構造的再配列が行われ、「遺伝子増幅」できることが判明した。これによって、健康な精子の機能を促進し、喪失を緩和する遺伝子のコピーを取得できるのだ。
この研究はさらに、Y染色体が「パリンドローム(回文配列)」という珍しい構造を持つことも明らかにしている。
つまり前から読んでも後ろから読んでも同じ配列があり、これが退化を予防するうえで一役買っているのだ。そこには高い頻度で「遺伝子変換イベント」が記録されており、これが正常な遺伝子のバックアップとなって、破損した遺伝子の修復する。
人間以外の種では、Y染色体の遺伝子増幅は一般的な仕組みであるという証拠が集まりつつある。そして増幅された遺伝子は精子の生産や(少なくともげっ歯類では)子供の性別の割合の調整に大切な役割を果たしている。
『Molecular Biology and Evolution』(2017年9月25日付)の研究によれば、こうしたマウスにおける遺伝子コピー数の増加は、自然選択の結果であるという。
この画像を大きなサイズで見るY染色体は生き残れるか?
Y染色体の運命について、学会は意見を二分している。残ると考えるグループは、その防衛機構は素晴らしいもので、絶滅を回避できるだろうと説く。
他方、絶滅すると考えるグループは、そうした機構は結局のところ悪あがきのようなもので、多少時間稼ぎをすることはできても、運命に抗うことはできないと説く。
絶滅派の強力な擁護者である豪ラ・トローブ大学のジェニー・グレイブズ氏もやはり、長期的に見れば、Y染色体の絶滅は避けられないと主張する。
2016年の論文で、オキナワトゲネズミとモグラレミング属の仲間がY染色体を完全に失っていることを指摘。Y染色体上の遺伝子の喪失や作成は、必然的に繁殖力の問題につながっていくと論じた。そして、最終には完全に新しい種を誕生させることになるかもしれないという。
この画像を大きなサイズで見るそれでも男性は死なず
人間の男性の場合、仮にY染色体が失くなってしまったとしても、必ずしも男性まで消えてしまうわけではない。何しろそれを完全に失ってしまっている種でさえ、子孫を残すには相変わらずオス・メスの両方が必要なのだ。
こうした場合、オスであることを決めるSRY遺伝子は、別の染色体に引っ越してしまう。よってそうした種では、Y染色体がなくてもオスが生まれる。
しかし、新しい性染色体(SRYの引っ越し先)は、やはり遺伝的組換えができないために、Y染色体と同じ滅びの運命をたどることになる。
この画像を大きなサイズで見る自然生殖以外の方法がスタンダードに?
人間に関して面白いのは、普通の生殖を行うにはY染色体が必要でありながら、生殖技術さえ利用すれば、それが持つ遺伝子の多くは要らないものであるという点だ。
つまり、近い将来、遺伝子工学がY染色体の代わりを担うようになり、女性同士のカップルや不妊の男性でも子供を授かれるようになるかもしれないということだ。
これは遺伝子の研究でも大いに注目され、熱い議論が交わされている分野だが、さしあたってはあまり心配する必要もないだろう。
そもそもY染色体が本当に消えてしまうのかどうかだってはっきりしないのだ。仮にそうなるのだとしても、ここで説明したように、おそらく男性はこれまで通りの生殖を行えることだろう。
さらに、一握りの幸運な男性が”種馬”として珍重されるような未来が水平線の彼方にチラついているようなこともない。Y染色体の運命がいかなるものであれ、すべて460万年後のことだ。
References:What happens to men if the Y chromosome disappears? – Big Think/ written by hiroching / edited by parumo
















以前から言われてはいたね。女性だけで子供はできるっぽいから将来的には男の必要性なくなるのかもね
>>1
460万年後にね
※1
単為生殖は魚類や爬虫類でも確認されているけれど、
哺乳類の場合は、父系・母系両方の遺伝子が必要なんだよ
だからヒトのメス同士で赤ん坊をつくるのはかなり無理が生じる
(実験によってマウスでは成功しているけど、一例だけだったかと)
※1
おい猿、優生学って知っているかw?
まぁセックスばかりが生殖手段ではなくなっているね、条件付きではあるけれど。
そもそも種としての人間の限界が何処にあるのかも判らない、どんな形で滅亡するのかも判らない、「未だ来ず」と書いて未来とは良く言った物でなってみなきゃー判らない事ってまだまだ一杯ある。
悲報 ワイ、しぼう…
男がいなかった方が世界は平和なんじゃないだろうかって思ったりする
自分は男だけども
※4
女比率が圧倒的に高い業種の職場を見ると
そうでもなさそうな気がする…。
>>12
自分女ばかりの勤務地だけど、女しかいない職場で全部やるから男みたいな仕事もやらざるを得ず、さっぱりしたもんよ。
むしろ成績良いと勤務地の違う男性にライバル視されてめんどくさ。
あと美人と可愛い子しかいない職場もさっぱりしてた。(激務の金融機関の総合職の嫁さん候補で採用されてるからみんな美人か可愛いので自信がある)
むしろ男気のある美人多くて居心地良かったわ。
※4
女だらけの世界も壮絶だぞ…
※4
女性だけだと、現実主義が極度に行きすぎて、美醜も善悪もない、感性が機械と変わらないレベルの精神性を持つようになる
と言う惑星を書き出したSF作家E.E.スミス氏は、大概だと思う
※32
女だけどなんかちょっとわかる気がするな・・「感性が機械」はひどいけど(その本を読んだことはない)。
暴力も激減するけど、現実主義の優しい人間ばかりになっても発展しないだろうからなあ。
まあもう人類もやたら「発展」するのをやめて落ち着こうぜって時期なのかもしれんが。
※4
どうだろうねえ。
とりあえず言えるのは、「現状のメスの哺乳類」だけの世界になったら「限りなくオスっぽいメス」の個体が生まれるんじゃないかなと思う。
進化していったらどうなるかはわからないけどね。
※41
男がXO型になるだけだぞ
※4
女性だけど、それは無いな
逆に男に媚びる必要がなくなるから、むしろ男がいた世界よりも酷くなると思う
女性同士だと同調圧力強めだから、適さない人はボッチになって生きていけない
男性いなくなったらヒャッハー!ってなって世紀末状態になると思う
※4
コレ言ったら叩かれる可能性あるけど、正直世界に男がいなかったら未だに人間は獣の群れだった可能性あるよ
各家庭にひとつある実験場を女性に任せた結果どうだったかがそれを語っている(byニーチェ)
>>4
集団の摂理として男が居なくなっても、その役割を担う女が現れると思う
だけどいくら努力しても男性のような力は出ないし、突き詰めてその道の巧になる事もないだろうな
女は女で、小さなえげつない争いを繰り広げるだろう
※4
事実として男性による支配は暴力による支配であることは歴史見ればその通りだと思う
ただそこに暴力的な女性がいなかったとなると全くそんなこともないし、〇〇さえなければ、いなければという思考をする以上は絶対的に平和にならんよ。それさえいなければ、を排斥し始めるからね
>>4そうかもね
女性ホルモンは攻撃性減少の役割があるが
男性ホルモンは攻撃性増加の役割がある
女だけになったらなったで男性ホルモンが増えるわけがないので
結果、今よりは平和になるな
世界中の歴史でも女が王になった時代って外交や貿易ばかりやってて戦いが何十年もない時代すら作ってたりするし
一番悪いのは攻撃性を増加させるというのだろうな…
>>4
受刑者だか判決受けた人だか忘れたっつうかそんな範囲指定の誤差に意味が見いだせなくなるほどの男女比とかな。文字通り十中八九だなんてなぁ。そんな決定的な性差が身体的特徴以外であるなんて考えもしなかったわ。
話しは聞かせて貰った。人類は滅亡する!
この論争ねぇ…
『男なんて汚らわしい不要物よ亡びるべきだわ=思考崩壊レベルフェミ及び其の追従者達』
対
『一般常識に従った科学者陣=学会』なんですがねぇ…まだやってたんだ
>>6
その変な誤解は、あなたが専門知識がなく議論の内容を理解していない上に、物事を何でもフェミニスト批判に結びつけるタイプだから産まれたものなんだよね?
「男性の中からY染色体が」滅びる可能性が高いと思っている専門家と、
男性の中でY染色体は生き残る可能性が高いと思っている専門家が議論しているのであって、
社会的な視点で「男性が」滅びるべきだと言ってる人達の事は全く別物で、対比になってない
ある種族が絶滅する寸前、その種族はメスだけになるって言う話をきいたことがあるよ。
犯罪も戦争も圧倒的に男が原因だし、いなくなればだいぶマシな世界になるんじゃないか
>>8
戦争に関しては地政学を学べば
どうして過去に争いが起こるか
分かる
>>8
女だけの世界になれば中世辺りに逆戻りやろなぁ
文明社会を発展させた発明などは、ほぼ男の功績やし
>>47
そもそも、現代まで男女間では教育も機会の均等も全く違うのだが
クライムゼロっていう小説が有る
この世から男性が有する「犯罪遺伝子」を駆逐してやろうぜっていうサスペンス
そこそこ面白いのでオヌヌメ
それぞれの種の生物は数万年で絶滅するっていうから
進化しないとそこで終わる
最終的にはなくなるとしてもまだ遠い未来でしかない その頃には性別なんて意味がなくなってそう
服と同じ感覚で性別も容姿も自由に出来てそうだし
ヒョンヒョロのうさぎちゃんが分裂繁殖するのは合理的なことだったのか……
遺伝子のガラクタ置き場と言われたり、
実は未知の可能性があると言われたり、
ひっそりと世界から消えて言ったり、
Y染色体ってホント男の遺伝子だねぇ(いや、男ってホントY染色体だね、が正しいか)
振り回されてるよマジで。
外国の村とか極地周りの特集番組観てると
某小さな村の物語の田舎の方は女の子ばっかり映ってるからな
海外なんかの村規模で見ると相当男の子減ってるよ
ロシアとか東欧の寒い所の村特集した10年位前の映像からも既に減ってる
えっV染色体になるんでしょ?
まあマジな話、環境が汚染されて種の存続が危うくなったりすると出生数がメスに偏ったりオスがメス化したり、メスが単為生殖するようになったりっていうのは色々な生物であるもんな
人間でも母親のストレスが大きいと女が産まれやすいなんていう説があるし
漫画や小説みたいに未知のウイルスが流行したり謎の現象が発生したりしなくても、いずれ男はこんなに大量に必要ないわって状態になっていくんだろう
※23
いやいや、次はZ染色体でしょう
「数千年前は男が支配していたなんて・・・信じられません。
きっとさぞ平和な世界だったでしょう」
とかいうシニカルな手紙のやりとりで始まるSF小説を最近読んだけど面白かった。
最後のオチを理解できる男性はあまりいないんじゃないかな。
460万年後?
どうでもいいわ
むしろ人類があと一万年も生き残れるかのほうが心配
男の数が減ってハーレム化って最高じゃん
そもそもホモ・サピエンスが登場したのがだいたい20万年前くらいだろ?
460万年後ってY染色体の消失どころか、
新たなものに進化してもおかしくないくらいのタイムスケールだぞ・・・
>>28
それなのに、男女論争みたくなっているコメントにはちょっと苦笑するね。
これだからヒューマンは…(ロボット感)
男子には内なる女子が、女子には内なる男子が存在するという。
進化の過程で偶然か。必然か。男と言うものと女と言う性別が生まれたなら、その性別が消えていくとすれば、それもまた運命なのかもしれない。
男子しかいないグループと女子しかいないグループを作ると、時間とともに力仕事が得意なものと、力仕事以外の物に力を発揮するものが生まれるでしょうし。
しなびたY染色体とかいうパワーワード
>>30
ほんと、パンチきいてる
戦争すなわち人類の歴史。戦争はエコシステムにおける生存競争であり、これによって人類は発展してきた。現在は経済が主戦場であると言える。
我々が今日便利に使っている技術は軍事によって発展したものであり、切り離すことはできないのだ。
競争・戦争から人類は逃れられぬ。此れとともに歩み続け、食物連鎖の頂点に立ち、これからも発展を続けることだろう。
前から議論されてることだね
最初の方に勘違いしてる人がいるけど男性は無くならない
Y遺伝子が無くなるかも~っいや無くならないってやってるだけ
XOかはたまたXZかは分からないががSRY遺伝子がお引越しして変化するだけ
なんだ460万年後か
その時になったら起こしてくれ
タイムカプセルに引きこもる俺氏より
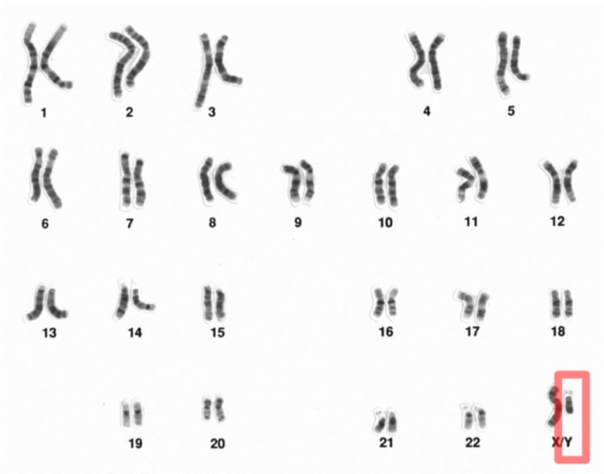
今更ですが、Y染色体って男性の精巣にだけあるの?どこにあるの?
>>38
Y染色体自体は全ての細胞の核に存在してます。
男が居なくなれば〇〇な世界が~とか言ってるけど
種の一性別が居なくなったら普通に絶滅だ
哺乳類は雌雄が逆転して生き残るみたいな単純な構造をしてない
仮に、その状況を何らかの科学技術的で乗り越えられたとしても、個体数激減によるボトルネック現象が待ってる。
じわじわ絶滅していくだけだ
ここは気持ち悪い写真とか記事を載せることが多いけど
コメント欄が気持ち悪い事になっているとは…
とりあえず「男性が滅びる」って言ってる奴ら、記事ちゃんと読んでないよね。まるで教授の授業を聞かない心が汚い女学生のジョークだな。
🀄麻雀漫画の「咲」は女性同士のカップルから生まれたキャラ多いとか作者が言ってた様な…
…確かに男キャラ1人か2人ぐらいしか出てこんかった様な気がする
おもしろいね
アンコウって交尾の際にオスがメスに同化して
産卵の際のせいしタンクという機能になってしまうのだが
人間はどうなんだろう むしろメス単体での受精が可能とか
いう風に進化していくとか、フェミSFみたいな感じになっていくかも
しれんね
巷にあふれる遺伝子組換え食品、亜硝酸塩、合成着色料なんかが遺伝子の奇形を作るそうだけど、それが原因じゃないの?
日本は世界一の遺伝子組み換え食品輸入国らしいから、何も考えず受け入れていると大変だと思うんだけど。
X+Y X+Y = LOVE =~ LOVE~♪
正確には「性別の概念が無くなる」でしょ?
もともとは無性別の生き物から進化して来てるんだからそこへ戻るかもってだけ
学問の発展がひたすら証明するのは、「男だ女だでギャアギャア争うのは馬鹿だけだ」ってこと
残念ですがこの記事はゴシップにしても内容に誤りが非常に多いですね。
というか正しい記述はほぼないと言って良いです。
削除するか、生化学や細胞生物学に見識がある方に添削してもらうことをお勧めいたします。
>>56
なら添削を書き込むべし
急速(460万年)
SFなんかじゃよく聞く話だが、人類もそこまで存続していられるのだろうか…
わーい!\(^o^)/ ゆうとる場合かっ!
オスの需要がなくなって、メス同士で繁殖できるようになっていくのかな?
女性ばかりの社会の方が、戦争は少なくなる気はするな
だって女性は子供を産み育てる性別でしょ?だから…、
戦争反対の社会になる様な気はする。実際にどうなるのか知らんが
>>64
闘争本能よりも生存本能に長けてるからね、争いはあっても戦争が少なくなるのは確実だろう
アリや蜂の社会なんてオスはほぼいないようなもんだし、哺乳類でもメスだけの群れを持って行動するものもいるから生物全体で見れば珍しい社会構造でも無いな
とある層が泣いて喜びそうなタイトルだなと思ったけど、案の定香ばしいのがチラホラと…
なんかね、男がいなくなる、女がいなくなるって言われて、
「男の功績、女の功績、男の害悪、女の害悪」って話が持ち上がること自体、
まだまだこの現代社会、差別ってものは消えないんだなって思う。
同じ人間として見るなら、男がいなくなろうが、女がいなくなろうが関係ないじゃないか。
昔そういう性差があったね、生命って不思議だね、って笑い合うだけだろ。
古くはラブシンクロイドとか、今なら終末のハーレムのように
ディストピアになる話が多いけど、
男性いなくなる以前にそんなに人類もたないと思うなあ
460万年もあればY染色体を科学で修復・再設計できるようになるだけじゃね?
文明を維持できれば、だが。
y遺伝子がそんなに短くなってるなら
ミトコンドリアの遺伝子どうすんだろな
あれ母側からしか持ってきてないからかなり短くなってるんじゃね
460万年後でしょ?
その頃の地球環境はどうなってるんだろう。
温暖化が進み過ぎて、灼熱地獄の地球になってるかも知れないから
人間が生きのびていられるかどうかさえ怪しいw
Nスペでみた、y染色体が傷ついてどんどん萎びていく様子、胸が痛かったわー
その番組で言ってたのは、y染色体が消えるのは460万年後かもしれないし、一週間後かもしれないって事。日本のなんたらネズミとか既にないんだっけ?
環境ホルモン等の要因で、加速度ついてるらしい。
女だけになれば~ってのは少し短絡的過ぎる
そもそも何で男性ホルモンが攻撃性に繋がってるかって言うのはヒトがそう進化してきたからに過ぎない訳よ
それって言い換えれば、攻撃的で他のオスを駆逐できる男が”選ばれて”子孫を残してきたからなんだよね
攻撃性/積極性の発生って生殖が競争である限り生物の定めなんよ
現代のヒトでは経済競争に置き換わってるけど本質自体は別に変わってないしね
男がor女が、みたいな安直な性別論ってマジでネットに多いけどだいたい因果関係が逆(笑)
精巣を振るとY染色体が修復されるんですか、、いつも振ってますけど。
男性嫌いの女性の多さを見ると、いままで繁栄できたのが奇跡のように思える
ダン・シモンズの小説ではポストヒューマン(人類を超えた種)は全て女性ばかりという設定。本当だったのね。
460万年後かー
それが近いのか遠いのかわからんけど
一個生命の寿命と同じで、最初からセットされてる時間枠なのかなぁ
Y染色体がしなびているから息子スティックもしなびているのか
昔、男は消耗品 という本があったなー。
まあ、チコちゃんも、
女の保険 って言ってたし。
そんなもんさ。
コメ欄が夏休みでうける
女性体のみ→生まれたときは女性体のみだけど一回目の繁殖期に雌雄分化→成長後じゃなくて胎児の時点で分化した方がよくね?←イマココ
って感じでしょ?新しいシステムのために長ったらしいYの数式を考え出したあと、その次のステップはいかにYの式を簡略化するかってなることに特に疑問は感じないけどなぁ
短くなっていくのは当然な気がするけど…
科学技術による単一生殖が仮に可能になったら人類の滅亡は早まると思う
だって容姿や体力の理想とする姿って同じような遺伝子になるだろうだから女性の遺伝子獲得の選択が少なくなり遺伝子の多様性を自分で少なくしていくと思うんだよね
それって遺伝子的には近親相姦と変わりない状態になっていくって事だろうし
※89
普通にそうだね
他の生物の個体数激減状況からの絶滅から簡単に見て取れる
よく言われる「遺伝子の袋小路」に陥って淘汰圧に耐えられなくなって絶滅の道を辿る
上でも書いたけど、それは非自然的な単一生殖でも、有性生殖であっても個体数の激減でも同じ事が起きる。
オスだけが居なくなっても絶滅するし、メスだけが居なくなっても絶滅するし、オスとメスが居ても急激に個体が減れば絶滅する。それを科学的な手段で乗り越えようとしても絶滅するし、実際に生物は絶滅してきたし。
※90
これに限った話じゃないけど、ある話があったとして、その話の中から自分の思想に都合の良い部分だけを抜き出したり、曲解したりして思想を展開する人達が居るんだよ。
その人達が主とするモノは、いかにして一部分を利用して自分の思想を都合よく展開するか?だけであって、元の話がどうであるか?とかは関係ない。
元の話を真面目にしようとする人達にとっては何ら実りもない話を永延とするだけなので、基本的に所謂「荒らし」だし、基本的に無視の方法で良いと思う。
※89
なんかの番組でやってたけど、100万年くらいで人類滅ぶらしいね。
でも、まあ、そんだけ時間があれば外宇宙に進出して、遺伝子工学やらで自己進化してるだろうから、およそ想像のできる範囲のことはやりつくしちゃってそうだけど。
この話題になると男ガー女ガーって言う人一定数現れるけど、なんでだろ
ただ科学的に分析したらそうかもしれないって話なのにな
※90
全くその通りですよね
男女の社会的な扱いの話なんて記事では全く触れてないのに、ヘイトコメントばっかり
※90
大抵の奴は知能が低いから善悪二元論でしか物事を観測できないんだよ
うんよくわらかん
その頃には別の染色体が男として機能するだろうよ
優生学は勘違いが生んだエセ科学やで。
世界的にも不妊の男性が急増してるんだよね…
不妊の父親から不妊の男という遺伝子を受け継いでしまうから
昔テレビで見た気がするけど500万年後だったような。40万年の違いはどっから来たんだろう。単に四捨五入? 地層の年代測定みたいに細かく刻めるようになった? 刻めるようになったとしたらそれなりに根拠がハッキリしてることになりそうだけど、はて。
コメント欄もなかなか面白いが、人間の体に限らず動物の肉体は大体メスが基準なんだよね。胎児の時はみんな女の子。
だから男にも乳首や子宮の痕跡器官があるわけで・・・では何故オスは生まれたか?というとそれは遺伝子の多様性を産むことが目的で、それが生存戦略として上手くいったから、というのが確か定説だったはず。
だからオスという遺伝子の多様性のための機構自体が消えるわけではないよ。遺伝子の多様性のための機構はきっとY染色体に変わる新しい何かとして残り続けるんじゃないかなぁ。しかし、それが男と呼べるものなのかどうかはわからないけどね・・・。
Y染色体の短腕部分はX染色体の短腕部分と相同で
他の染色体のようにカップリングを行っている
生命維持に必要が無くカップリングできない長腕部分が淘汰されたが
短腕からSRY因子までは保護されている
SRY因子以上を欠いた場合は不妊の女性になる
消える理由がよくわからん
有害な遺伝子とやらの持ち主が子供を作れなくなったり淘汰されるだけじゃないの?
殺人などの犯罪の98%は男性なのだし、同じ種としてもまあいらないかな…って感じ。