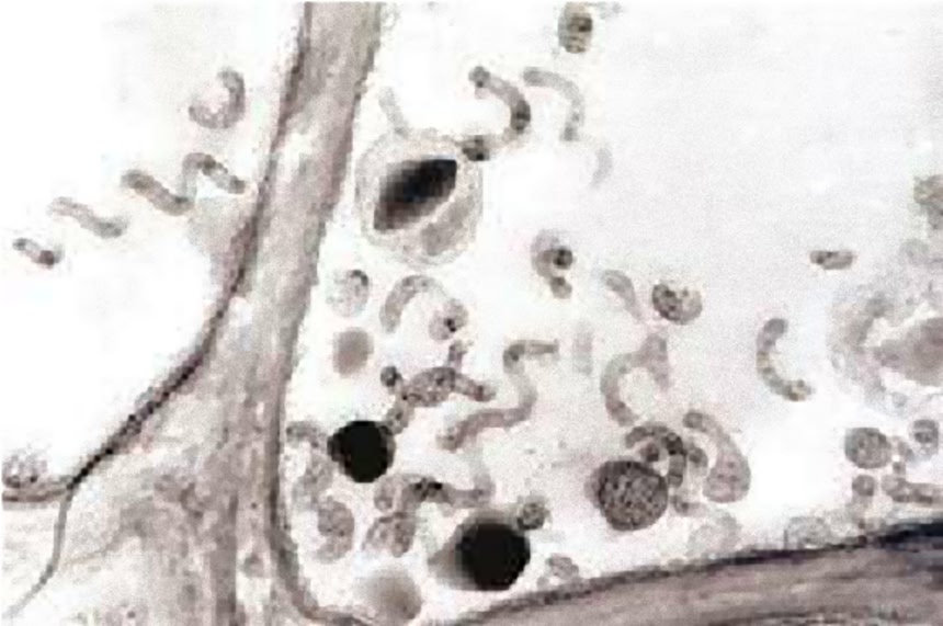
この画像を大きなサイズで見るケニア、イギリス、ドイツの共同研究チームががオス殺しの細菌を特定した。この細菌は”アフリカの女王”と称される熱帯の蝶(カバマダラ)に感染し、そのメスから生まれたオスはすべて死んでしまうそうだ。メスには一切影響がない。オスのみである。
アフリカの大部分に生息するカバマダラはスピロプラズマという細菌に感染しているが、その子供たちに特に影響はない。しかし、2種の亜種が存在するケニアのナイロビ周辺の狭い地域では、細菌感染によってオスが全滅するという事態が起きている。オスの卵はまったく孵化せず、お腹を空かせたメスのきょうだいによって食べられてしまうこともしばしばだという。
完全なる種へ変わる最初のステップ
王立協会の学会誌で調査結果を発表した研究者らは、この現象は2種の亜種が同系交配することのない2つの完全な種へと変わる最初のステップだと考えている。
研究チームは、オスが孵化しない卵を産むメスの染色体が劇的に変化していることを発見。非性染色体が性染色体と融合し、”ネオW”という染色体を新たに形成していることを明らかにした。
「私たちは新しい種が環境の変化に起因して発生すると考えがちですが、この事例では2種の亜種を分かつよう働きかけているのは明らかに細菌です」と研究チームの一員であるエクセター大学のリチャード・フレンチ=コンスタント(Richard ffrench-Constant)教授。
この画像を大きなサイズで見る「今回の染色体融合の背後にある正確な分子的メカニズムはわかりませんが、交雑が起きている地域ではオスが生まれません。つまり、ここでの交尾は実際には意味がないということになります。よってどちらの新種にとっても障壁が作り出されているということです」
今回の論文は、ナイロビ周辺の蝶の性と色のパターンを苦心して記録してきたイアン・ゴードン(Ian Gordon)博士率いる研究チームによる13年間のフィールドワークの集大成だ。メスしかいない地域にいるメスの染色体をドイツ、リューベック大学のヴァルター・トラウト(Walther Traut)教授が解析した結果判明した大発見である。
この画像を大きなサイズで見る論文の第一著者デビッド・スミス(David Smith)博士は、「ネオWはメス全個体にとって遺伝的な流しとしての機能を果たしており、おかげでナイロビ周辺の蝶の個体群はほぼすべてがメスになっています。今回の結果は、性、色パターン、オス殺し細菌、染色体の複雑な相互作用が遺伝的な”流し”を作り上げ、2種の亜種を分離していることを証明しています」と説明する。
「これは種が完全に別のものになるメカニズムを示した明確な証拠で、種の発達の遺伝的基礎を確認できる極めて珍しいケースです」とトラウト教授はコメント。
「オス殺し細菌に対する蝶の影響の受けやすさは、2種の蝶が2つの完全な種に分かれるよう促しているようです。ゆえに、小さな細菌はこの魅惑的な蝶の生と死に大きな影響を有しているわけです」とフレンチ=コンスタント教授は付け加えた。
via:phys.// written & edited by hiroching














救いはないんですか!?
細菌による選択的な間引きが起こってるってこと?
※2
仕方ないね♂
へえ…面白いね、オスを殺すっていうより新種成立の一メカニズムとして。いい記事取り上げてくれてありがとう。
文中「流し」って訳されてるのは原文では”sink”でたしかにキッチンの流しなんだけど、英語だと言葉としては「流す」より「吸い込む」ニュアンスが強いので、二つの種の中間型のものを吸い込む(で消滅させる)役割をこのウィルスが果たしてるってことなんだね。ちょっと伝わりにくいなと思ったけど誤訳ってわけではないんだな…
普通に考えたら種が絶えてしまう気がするけどそうはならないのかな…?
その細菌に対応できてオスとなる遺伝子が発生するか、それまでに絶滅してしまうかって事かな。
もしくは新たに遺伝子の変化したメスと従来のオスとの交配で細菌に対抗するのかな。
※4
両生類や単為生殖の生物のように進化するんじゃないか
メスとして産まれ必要を迫られたらオスになったり、もしくはメス同士でも交配出来るようになるとか
昆虫は免疫を持っていないから、抗体を作るのは無理だろう
※4
間引きと言うよりは、細菌によって壁が作られて
お互いが交配できない種へと進化してる過程ってことだろうね。
蚊や屋内のゴキに応用したら自然に消滅可能なので
ノーベル賞ものだろうな
だからと言って人間にも応用したらアマゾネスが
誕生するのでやめてくれ
カラパイア住民に進化生態学に造詣が深い方が増えているようで嬉しい
ところで「流し」の翻訳前は※5さんの言うとおりsinkで、
ソース個体群とシンク個体群という個体群生態学の用語の1つです
自力で個体数を増加できるソースから流入して個体数を維持している群のことをシンクと言います
2つの亜種がそれぞれソースを作り、その2種間の交雑によって生み出されたネオW染色体を持つ新しい個体群のことがシンクです
このシンクはオスがいないため、自力では個体群を維持できませんが、ソース間で交雑が起こり、かつオス殺しの細菌が感染し続けるならば、繁殖することなく存続します
このシンクの行く末は進化的な停滞か、もしくは※44さんが言うような進化的発展かも知れません
いずれにせよ、隔離による種の分化を目撃できた衝撃的な研究の1つだと言えるでしょう
オスだけを殺すウィルスかよ!
え、じゃあどうやって次の世代を築いてくんだろ?
同性交配とか出来るの?
近親種で交雑するとオスに生殖能力がない場合は聞くけどオス自体が抹殺されるなんてすごいな
メスから分化したのがオスとも言うし幼年期はたいがい弱いよね
やっぱ冨樫って神だわ
ジャンプ+の終末のハーレムみたい
この細菌が大繁殖したら単体生殖するようになるとか
※11
>え、じゃあどうやって次の世代を築いてくんだろ?
>同性交配とか出来るの?
メスがメスを産むんですよ。
自然界には、オスという性の無い種もありますから、別段不思議でもありません。
メスがメスを産むので交配する必要もないのですが、そのままの状態では遺伝子的に袋小路に陥る可能性が高いので、時期を見てオスが発生するんじゃないかと思います。
ジャンプ+で見た
「ネオW」という染色体を持つメスがいかに繁殖するかの説明がないのだけれど・・・・メスだけの種でたまに見られるように、単為生殖できるということなのかな?
オッス、オラ細菌!
レベルE思い出した
摩訶不思議
ワンピの女ヶ島みたいな話だな
冨樫の漫画レベルEでそんな宇宙人がいたな
アワノメイガ類はヴォルバキア感染で「オス殺し」現象が起こるけど、スピロプラズマは卵の段階でこれをやっちゃうわけか、すげーな。
しかしオスってのは悲愴な生き物やねえ。
人間にも感染するようになって、耐性を持った人間が出てきてハーレム化…ってこれ終末のハーレムや…。
虫は周期が速いからどんどん進化していくね
ジーク、ナオン!
全ての種の分化に当てはまっちゃたりラジバンダリ?
生殖隔離ってやつかな。
この細菌がいる地域じゃ蝶が繁殖できない → 蝶の分布にとって、海とか高い山があるのと同じ → 地理的隔離が起きて、この地域の両側で蝶が別亜種に進化
ってわけだね。
デカルチャー
大奥とかで見たやつ
ヴォルバキアかと思ったけどそーではないのか
細菌やウイルスによって遺伝子が変質する現象ってなんかSF的ロマン感じる
オスだけが死に絶えたら、普通は種全体が絶滅してしまうがな
その内に、メスだけで単一生殖できる能力を獲得するしかない
(実はもう既に、そういう能力を持っていたりして?)
このトピを読む限り、良く絶滅せずに存続しているものだと思った
大発見だし、人間もまた「細菌や目に見えない寄生虫の意思により動いている」ことへ考察が繋がる発見だね。
つまり、今まで、ダーウィンが提唱したように「環境により生物は変わる」と考えられていた。
これで、そこからさらに1歩進んで、「環境に存在する細菌や寄生虫、目に見えないモノたちの『意思』により生物は変化を遂げる」と分かったわけだ。
例えば、あなたが海苔が好きなのは、あなたの腸内細菌が海苔が好きだから、ということ。
あなたが今日、仕事や勉強をサボったのは、あなたについてる寄生虫が、
あなたが将来良い病院に行けるような給料や環境を得る機会を「求めていないからサボらせた」のかもしれないということ。
将来のたれ死にするようにね。
交雑可能な2種類の亜種がいて、交雑して生まれたオスは細菌によって孵化できず死滅、メスは残るため、交雑する地域では交雑種のメスだけの集団がある。でも同種同士で交配してる地域ではそれぞれオスもメスもいる、そいつらは細菌に耐性がある?だから安定的に増殖する。
つまり1回でも交雑した系統はその後オスは必ず死滅してメスしか産めない。その状態が続けば2種類の亜種は遺伝子のやり取りが無いまま独自に進化して、最終的には交雑出来ないほど別々になる、ってことかな。
ただ交雑した系統もいずれは細菌への耐性を獲得する可能性は大いにあるから、もう少し複雑なややこしい展開になると思う。2種類の亜種と、細菌に耐性を持つ交雑種の計3種類が生まれたら、恐らく2種類の亜種は交雑種に飲み込まれていくかもしれない。
鶏卵用の鶏に応用できれば無駄な殺生しなくていいしカラーひよこも生まれない
すごい
進化の過程を目の当たりにしてるわけか
つまり、交雑種は子孫を残し難く、
純粋種は、より子孫を残し易い様な、
自然の遺伝子メカニズムが存在している訳か(細菌を通してだけど)
でも良く調べたら、別の種類の純粋種にしか感染しない細菌も
存在していた…とかいうオチじゃないだろうな?
(生物界は訳が判らんわ、細菌とかウィルスは変異も速いし)
災玉かと
MKウィルスかな
考えてみたら、ハーフの子供は可愛いけど、クォーターになると可愛いさが落ちて、可愛い子供とそうでもない子供に別れる。という現象にも繋がるかもね。
つまり、人間界でも交雑が進みすぎるようにはならないようになっている。
クォーターまで全員完璧に可愛いなら、外国人との結婚は、もっと加速度的に増えていたと思うし。
遺伝的な流し の意味がわからない
細菌こそが神であったか
※43
パラサイトイブの人はミトコンドリアに操られているみたいな感じか
アメリカが人間用のを開発してイスラエルと一緒に撒くんだろ
神の見えざる手で進化は促されているという事ですか…
ウイルス進化論の有力な事例となりそうですね。
男のワイ、戦慄する
ボルバキアのことかと思ったけど違ってた
オスの扱いは酷いな・・・・・
レベルE…と思ったら既に書かれてた
許してぇぇ
※58
それは今後の経過を観察しないとわからないと思う。
とりあえず、
メスだけしか存在せず、単為生殖で続いている種は確かにいるけど、「普通」というわけではないし、哺乳類では今のところ存在しない。脊椎動物では魚類や爬虫類、両生類では確認されているかな。
で、そいうった種はメスがメスを産んでいる。途中でオスが発生するケースもあるのかな。昆虫のアリマキなどでは、オスとメスを産み分けているし、性というか繁殖については驚くべきほど多様性があるので。動物といって脊椎動物しか思い浮かばない人にとっては脅威の世界。
で、メス
経済動物……かぁ
なんか、道徳や正義を謳っている社会で矛盾してる現実を突きつけられると、
なんとも言えない気持ちになるよなぁ
だからって野生に帰すわけにもいかないから、誠意をもって接するしかないんだけどさ
マクバク族やね
男はいらないってこと?;;
誤解してる人がいるけど、この蝶は単為発生は確認されてないし、雑種のオスは淘汰されるけど、生存した雑種のメスと純血種のオスの交配は出来る。ただそこからもメスしか孵化しないし、子供であるそのメスも同じ。雑種同士の交配はできないからその系統は生まれないけど、雑種と純血種の交配は残り続ける。
その中からいつかオスも生まれるかもしれないし、既に少数は生まれているかもしれない。そうなると新しく雑種だけの系統が生まれる。イブは沢山いるから、後は細菌に強いアダム待ちだね。
男絶対殺すマンで草
オスの存在自体が生物進化でのイレギュラーな出来事だったからイレギュラーには同じく弱いと
詳しい人が書いてくれて、とてもありがたい。専門用語だったんだ。
細菌にかかりやすいか否かで分岐して、細菌にかかっている系統とかかっていない系統に分かれ、その交雑グループはオスが死ぬようになったって事なんかな?
記事だと2亜種の片方だけ細菌に感染してるのかそれとも2亜種ともなのか分からないけど
wolbachiaと呼ばれるウィルスもメス化・オス殺しを引きおこすけど、細菌でもあるんだね。驚いた
人間のDNAにもウィルスや細菌のものと同じような配列が見られるしそういうものなんやろな
オカルト話でたまに見かける「うちは代々、男が早死にする家系なんだ…」みたいなのもいつか解明されるのかなー
※73
それを言い出すと、肉牛も乳牛も、食用以外では競走馬なども酷いという話になる。経済動物ということで、生きている間は悲惨な環境であっても、せめてその範囲内で精一杯慈しむしかない。
コードウェイナー・スミス「スズダル中佐の犯罪と栄光」を思い出した、雄雌立場が逆だけど。
禁欲モルルン
ダンゲロスみたい
フェミナチさんがこれを遺伝子操作してアレなことをやらかしそう
シティーハンター思い出した
※78
人間は太古から生き抜いてきたわけだけど、それはつまり様々な生の障害となるものに勝利し続けて、勝利し続けることすらも効率化して自動化し続けてきたからだ。
システムの力が自動で生のための勝利を生み続けているだけで、システムがなければ自分の手で勝ちとるしかないんだ。こうして使っているインターネットも、あらゆる障害を排除するために、自動化の流れの中で現れた道具だ。
経済動物も、インターネットも、生命維持の効率化にかかわるあらゆるものが敷衍すれば人間以外の種々様々の生命を奪い取るために生まれたんだよ。
道徳も正義も人間の生のための真理で、人間は人間の真理に生きるのが正しい。
私は『大奥』の赤面疱瘡(作中で、若い男だけがかかる天然痘に似た病気)を思い出した。
雑種の片方の性だけが生き残れる形の生殖的隔離はよく見られるから、それの変形かもしれない。
敵国にバラ撒くなら雌殺しの方だろう?
即効性は知らないが